Đau đầu thần kinh mạch máu
Đau thần kinh mạch máu, hay một cách nói thay thế khác là chứng đau đầu, cũng có những đặc…
Đọc tiếpĐau thần kinh mạch máu, hay một cách nói thay thế khác là chứng đau đầu, cũng có những đặc…
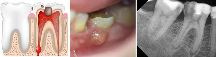
Đọc tiếpXÁC ĐỊNH NỨT DỌC CHÂN RĂNG Đánh giá nứt dọc chân răng có thể mang tính chủ quan hơn là…
Đọc tiếpTrong nhiều năm qua, người ta đã cố gắng phát triển phân loại về bệnh lý tuỷ và mô quanh…
Đọc tiếpDo có nhiều kiểu gãy nứt chân răng khác nhau nên có vô số các biểu hiện và triệu chứng…
Đọc tiếpTay khoan nha khoa đã ra đời và phát triển như thế nào? Nha khoa đã thay đổi trong khoảng…
Đọc tiếp