Chỉnh nha ( phần 2): khớp cắn
NHỮNG KHÁI NIỆM VỀ KHỚP CẮN Người ta đã giới thiệu nhiều khái niệm về khớp cắn. Một số khái…
Đọc tiếpNHỮNG KHÁI NIỆM VỀ KHỚP CẮN Người ta đã giới thiệu nhiều khái niệm về khớp cắn. Một số khái…
Đọc tiếpSỰ PHÁT TRIỂN CỦA RĂNG Bộ răng được xác định dựa theo loại răng, số răng và sự sắp xếp…
Đọc tiếpRỐI LOẠN TRONG QUÁ TRÌNH MỌC RĂNG Rối loạn trong quá trình mọc răng là quá trình răng mọc một…
Đọc tiếpGiới thiệu chỉnh nha các mẫu hàm thường gặp Giới thiệu chỉnh nha Khớp cắn được định nghĩa đúng là…
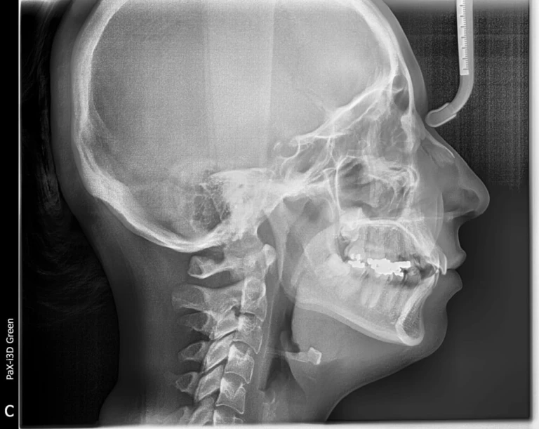
Đọc tiếpA- GIỚI THIỆU Phim Cephalometric là một phương pháp tiêu chuẩn để tái tạo lại hình ảnh sọ mặt, rất…
Đọc tiếp