list Nội dung bài viết

    Việc xác định chiều dài làm việc

    Một trong những điều cốt yếu quyết định sự thành công của điều trị nội nha. Tuy nhiên, điều cần thảo luận đó là xác định điểm chóp cuối cùng của ống tủy chân răng ở đâu khi sửa soạn ống tủy và trám bít. Cuộc tranh luận diễn ra xoay quanh những quan niệm khác nhau về tạo hình và làm sạch vùng chóp của ống tủy chân răng, và liệu nên hoàn thành việc thao tác bên trong thành ngà cho đến lỗ chóp sinh lý, hay là mở rộng đến phần xi măng gần với lỗ chóp giải phẫu.

    Một vài đồng nghiệp đã đóng góp những nghiên cứu của họ và góp phần cho ra bài báo này. Đó là Giáo sư Mirjana Vujaskovc, Tiến sĩ  Katarina Beljic- Ivanovic, Tiến sĩ Jugoslav Ilic và Tiến sĩ Ivana Bosnja từ Ban nha khoa của Đại học Belgrade; Giáo sư Joshua Moshonov từ Đại học Hebrew của Jerusalem, ông đã kết hợp với các phần nghiên cứu của mình và cung cấp phòng thí nghiệm nghiên cứu; Tiến sĩ  Julian Webber, ông đã cung cấp vật liệu và các thiết bị cần thiết; và Giáo sư Paul Dummer từ Đại học Cardiff, ông đã đóng góp những giả thuyết và hướng dẫn có giá trị cho nghiên cứu in vivo của chúng tôi.

    Bài báo này dựa trên bài giảng gần đây của tôi tại Hội nghị của Hiệp hội Nội nha Châu Âu (ESE) ở Edinburgh, qua đó mà tôi cũng đã tham khảo rất nhiều bài báo và sách vở. Tôi muốn cảm ơn những tác giả có ảnh hưởng trực tiếp đến quan điểm và công việc của riêng tôi trong những năm qua và nhờ đó cuối cùng cho ra bài báo.

    Triết lý và quan điểm của họ:

    • Ricucci D, Langeland K: Giới hạn chóp của ống tủy chân răng, trang thiết bị và việc trám bít, Phần 1: Tổng quan tài liệu (Apical Limit of Root Canal, Instrumentation and Obturation, Part 1: Literature Review). Tạp chí Nội nha Thế giới năm 1998, 31(6):384–393.
    • Ricucci D, Langeland K: Giới hạn chóp của ống tủy chân răng, trang thiết bị và việc trám bít, Phần 2: Một nghiên cứu về đặc điểm mô học (Apical Limit of Root Canal, Instrumentation and Obturation, Part 2: A histological study). Tạp chí Nội nha Thế giới năm 1998, 31(6):384–409.
    • Wu M, Wesselink P, Walton R: Vị trí điểm chóp cuối cùng trong những thủ thuật điều trị tủy (Apical Terminus Location of Root Canal Treatment Procedures). Phẫu thuật miệng, Nội khoa vùng miệng, Bệnh học miệng, X-quang vùng miệng và Nội nha 2000; 89(1):99–103.
    • Fava LRG, Siqueira JF: Xem xét việc quyết định chiều dài làm việc (Considerations in Working Length Determination). Nội nha lâm sàng năm 2000; 3(5):22–33.
    • Nekoofar MH, Ghandi MM, Hayes SJ, Dummer PM: Các nguyên tắc hoạt động cơ bản của thiết bị điện tử đo chiều dài ống tủy (The Fundamental Operating Principles of Electronic Root Canal Length Measurement Devices). Tạp chí Nội nha Thế giới năm 2006; 39(8):595–609.
    • Mounce R: Quyết định chiều dài làm việc thật sự (Determination of True Working Length). Nội nha lâm sàng năm 2007; 10(1):18–2

    Yếu tố quyết định

    Mỗi lần chúng tôi cần quyết định chiều dài làm việc và xác định điểm chóp cuối cùng (WL) đều phải đối diện trước những thách thức khác nhau, và những nhân tố ảnh hưởng đến quyết định của chúng tôi đó là ở đâu, khi nào, tại sao và làm thế nào để xác định điêm chóp cuối cùng. Trước tiên, có những yếu tố quyết định nằm ngoài sự kiểm soát của chúng ta đó là: giải phẫu của hệ thống ống tủy, hình thái học của vùng chóp và các biến thể của nó, tình trạng bệnh lý của tủy và mô nha chu.

    Ngoài ra, có những nhân tố mà chúng ta có thể và nên kiểm soát, đó là kiến thức, kỹ năng và trang thiết bị dụng cụ. Thực hành lâm sàng hằng ngày mang đến cho chúng ta những kinh nghiệm và những khuôn sở thích, tuy nhiên, sau nhiều năm hành nghề, định kiến nhất định có thể phát triển và trong một số trường hợp có thể dẫn đến sai sót.

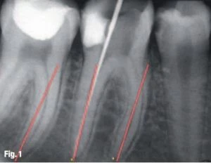
    Nhìn vào hình ảnh giải phẫu của ống tủy, điều đầu tiên có thể thấy là chúng luôn lệch khỏi trục dài chân răng và lỗ chóp hầu như không bao giờ trùng với trục chính của chân răng (Hình 1). Những chi tiết giải phẫu và những biến thể của vùng chóp là điểm cốt yếu để quyết định WL.

    Lỗ chóp giải phẫu hiếm khi nằm ngay vị trí vùng chóp giải phẫu (ít hơn 50% trường hợp). Hay nói cách khác, lỗ chóp giải phẫu không phải lúc nào cũng nằm ngay vị trí vùng chóp giải phẫu (Hình 2). Điều này đã được chứng minh bởi nhiều nghiên cứu, có 50, 80, 92, và có thể lên đến 98% trường hợp có lỗ chóp giải  phẫu cách vùng chóp giải  phẫu từ 0.2 – 3.8 mm.

    Quyết định chiều dài làm việc và cách xác định điểm chóp cuối cùng

    Hình 1: Lỗ chóp hầu như không bao giờ trùng với trục chính của chân răng.

    Quyết định chiều dài làm việc và cách xác định điểm chóp cuối cùng  lỗ chóp phẫu thuật

    Hình 2: Lỗ chóp giải phẫu không phải lúc nào cũng nằm đúng vị trí vùng chóp giải phẫu.

    Vì vậy

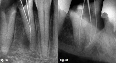
    Thực tế là lỗ chóp giải phẫu không nằm ở vùng chóp giải phẫu,và cũng ko nằm ở vùng chóp trên X-quang. Do đó, các dụng cụ đặt vào ống tủy chân răng đi ra lỗ chóp với các góc khác nhau từ 10o đến 90o  (Hình 3a & b). Nói cách khác, các ống tủy chân răng lệch và đi ra ở phía gần và xa, điều này có thể dễ dàng thấy được trên phim X-quang. Tuy nhiên, ống tủy cũng lệch ngoài và trong. Theo tài liệu, trường hợp này chiếm 20 – 55% các răng, tùy thuộc vào đặc điểm hình thái răng (Hình 4a & b). Hơn nữa, đa số chóp chân răng có nhiều lỗ chóp, gây nên chóp răng delta và khó khăn trong việc xác định điểm kết thúc trong điều trị nội nha.

    chóp răng delta

    Hình 3a & b: Trên X-quang ta thấy lỗ chóp giải phẫu không nằm đúng vị trí chóp răng, và dụng cụ nội nha đi ra khỏi lỗ chóp theo một góc khác.

    Quyết định chiều dài làm việc và cách xác định điểm chóp cuối cùng 2

    Hình 4a & b: Các ống tủy lệch ngoài và trong trong 20–55 % trường hợp

    Đặc điểm mô học

    Đặc điểm mô học của xi măng, đường nối xi măng-ngà (CDJ: cemento-dentinal junction) và các biến thể của chúng khá thú vị. Chỉ có 5% răng độ dày phần xi măng ở các thành ống tủy bằng nhau. Độ dày của những lớp xi măng trên thành ống tủy có thể khác nhau từ 0.5 đến 3.0 mm, và những biến thể của CDJ ở các răng khác nhau biến thiên từ 200 µm đến 800 µm (Hình 5a & b).

    Các CDJ hiếm khi được xác định rõ và đôi khi rất khó phân biệt giữa xi măng với ngà răng. Vì vậy, hầu hết các tác giả nổi tiếng xem nét đặc trưng của CDJ tính không ổn định, thậm chí cả về mặt mô học.

    độ dày của lớp xi măng ống tủy

    Hình 5a & b: Độ dày của các lớp xi măng ở các thành ống tủy khác nhau từ 0.5 đến 3 mm.

    Trong suốt quá trình răng tồn tại và thực hiện chức năng, chóp răng liên tục được tái cấu trúc thông qua quá trình lắng đọng xi măng và tái hấp thu. Quá trình tái cấu trúc này dẫn đến hiện tượng giả thay đổi vị trí của lỗ chóp, nhưng chiều dài chân răng thì thật sự tăng lên.

    Do đó, ngay cả những CDJ cũng được xem xét và đề nghị là giới hạn chóp sinh lý lý tưởng của WL. Tuy nhiên, vì không thể xác định rõ nó trên lâm sàng nên nhiều người đề cập đến điều này như là một chuyện không tưởng. Thách thức về mặt giải phẫu tiếp theo cho các nhà lâm sàng là điểm thắt chóp. Người ta đã chứng minh được rằng các CDJ và điểm thắt chóp là hai điểm riêng biệt và hầu như không bao giờ trùng nhau.

    Điểm thắt chóp luôn luôn nằm phía trên CDJ (Hình 6a & b).

    Trong khi các lỗ chóp ống tủy có thể dễ dàng thấy được khi quan sát dưới kính hiển vi, thì điểm thắt chóp lại không được xác định rõ ràng. Chưa đến 50%  các răng hiển thị những điểm có thể được coi là điểm thắt xác định điểm chóp cuối cùng . Một vài tác giả đã chỉ ra và phân loại những biến thể về vị trí của điểm thắt chóp. Nhưng đáng tiếc rằng kiến thức này không thể  được áp dụng nhất quán vì phân nửa số răng có một điểm thắt chóp; số còn lại có nhiều hoặc không hề có điểm thắt chóp nào (Hình 7a–c). Khoảng cách từ điểm thắt chóp đến lỗ chóp khoảng 0.07 đến 1.76 mm. Do đó, khoảng cách từ điểm thắt chóp đến chóp răng trên X-quang từ 0.75 đến  4 mm.

    Tiếp theo là phần tóm tắt phần trình bày này theo phương diện giải phẫu. Xem lỗ chóp như là một điểm tham chiếu cố định hơn so với điểm thắt chóp hay là chóp răng trên X-quang. Việc sử dụng các lỗ chóp lớn giúp cho nghiên cứu chính xác hơn. Nhờ vậy chúng ta có thể kết luận rằng do điểm thắt chóp và CDJ cũng như mối liên hệ của chúng có nhiều bất ổn, nhiều biến thể, nên các lỗ chóp có thể là một điểm tham chiếu hữu ích và đáng tin cậy hơn trong việc xác định WL.

    Quyết định chiều dài làm việc và cách xác định điểm chóp cuối cùng  điểm thắt chóp  CDJ

    Hình 6a & b: Điểm thắt chóp luôn nằm phía trên đường CDJ.

    Quyết định chiều dài làm việc và cách xác định điểm chóp cuối cùng  4

    Hình 7a–c: Ít hơn phân nữa răng có 1 điểm thắt chóp (a) và số còn lại hoặc có nhiều điểm thắt chóp (b) hoặc không có điểm nào (c).

    Tình trạng bệnh lý và vi sinh

    Tủy răng và mô quanh chóp là yếu tố cực kỳ quan trọng trong việc quyết định các yếu tố ở đâu, khi nào, tại sao và làm thế nào để xác định vị trí  điểm chóp cuối cùng. Trong những trường hợp tủy sống, lành mạnh, hoặc tủy viêm không hồi phục mà chưa có vi khuẩn hay vi khuẩn chỉ nằm giới hạn trong buồn tủy, thì có hai quan điểm điều trị.

    Quan điểm thứ nhất khẳng định chắc chắn rằng nên lựa chọn cách điều trị lấy tủy khi xác định điểm chóp cuối cùng nằm tại lỗ chóp sinh lý (Hình 8a & b). Chúng tôi hiện sử dụng phương pháp này, nó đã được chấp nhận rộng rãi ở đa số các trường nha khoa và các nhà lâm sàng Châu Âu, trong hầu hết mỗi trường hợp, ở bất kỳ tổn thương nào thì theo nguyên tắc sinh học và y học cơ bản: “càng ít mô cần chữa trị, thì việc điều trị càng tốt”.

    Đối với những trường hợp có tình trạng tủy giống trên, quan điểm thứ hai tán thành việc lấy tủy một phần khi điểm chóp cuối cùng chưa đến vị trí điểm thắt chóp và cách chóp răng 1.5 đến 10.0 mm, để lại phần tủy gốc răng. Sau khi được che và hàn kín tốt bằng các vật liệu sinh học tương thích, sự sống của phần tủy còn lại sẽ được bảo tồn, cho phép tủy tiếp tục thực hiện chức năng của nó: hình thành và khoáng hóa ngà răng.

    Xem thêm: Những yếu tố ảnh hưởng đến việc xác định chiều dài làm việc nội nha

    Xem thêm: Bệnh lý tủy răng

    Những trường hợp tủy hoại tủy hoặc viêm nhiễm thì phức tạp hơn

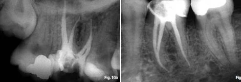
    Ngay cả khi chưa có tổn thương quanh chóp. Một vài đồng nghiệp tán thành rằng điểm chóp cuối cùng nằm tại vị trí lỗ chóp sinh lý. Vị trí này bảo tồn nguyên vẹn hình thái chóp răng, và không làm hại đến lỗ chóp chân răng cũng như dây chằng nha chu, vì vậy cho phép lành hương tối ưu (Hình 9a & b). Các đồng nghiệp khác đề nghị rằng điểm chóp cuối cùng nằm tại lỗ chóp giải phẫu, đôi khi nằm ngay chóp răng, hoặc thậm chí ngay chóp răng trên X-quang. Cách làm này chấp nhận khái niệm chóp mở (apical patency) hay kỹ thuật làm sạch chóp (apical clearing technique) (Hình 10a & b).

    các ít mô cần được chữa

    Hình 8a & b: Càng ít mô cần được chữa thì việc chữa trị tiên lượng càng tốt: hình ảnh kiểm tra trên X-quang sau 12 tháng (a); lành thương ở vùng chóp và hình thành cầu xi măng (b)

    điểm thắt chóp sinh lý

    Hình 9a & b: Điểm chóp cuối cùng nằm tại lỗ chóp sinh lý: hình ảnh X-quang sau 12 tháng (a); sự lành thương tốt (b).

    điểm chóp cuoiió răng trên Xquang

    Hình 10. a: Điểm chóp cuối cùng tại chóp răng trên X-quang với kết quả tuyệt vời: hình ảnh kiểm tra trên X-quang sau 2 năm. b: Các ống tủy được trám bít thành công đến chóp giải phẫu.

    Trong những trường hợp viêm quanh chóp thì càng cần phải thảo luận về vị trí điểm chóp cuối cùng.

    Phương pháp bảo tồn nhấn mạnh rằng tất cả các thao tác phải chấm dứt tại lỗ chóp sinh lý, vì bất kỳ dụng cụ nào đi quá hay trám quá điểm này đều dẫn đến thất bại cả trên lâm sàng lẫn mô học.

    Một phương pháp khác, được ủng hộ bởi một nhóm các học giả nổi tiếng và các nhà lâm sàng giàu kinh nghiệm, tán thành rằng việc sửa soạn và trám bít trong những trường hợp như trên thì luôn chấm dứt tại lỗ chóp giải phẫu hay lỗ chóp trên X-quang, chóp răng trên X-quang. Hình 11a và b minh họa khả năng điều trị thành công càng lớn khi điểm kết thúc của tất cả các thao tác trong ống tủy nằm tại lỗ chóp giải phẫu, không phân biệt loại viêm quanh chóp. Nếu có thể, mục tiêu của điều trị triệt để là để tránh phẫu thuật quanh chóp (Hình 12a–c).

    trường hợp viêm quanh chóp

    Hình 11a & b: Trong các trường hợp có viêm quanh chóp, điểm cuối cùng nên tại điểm kết thúc của ống tủy, gần với lỗ chóp giải phẫu: hình ảnh trước điều trị (a; với sự giúp đỡ của Tiến sĩ Julian Webber); kiểm tra sau 2 năm (b).

    Quyết định chiều dài làm việc và cách xác định điểm chóp cuối cùng  tại điểm chóp phẫu thuật

    Hình 12a–c: Trường hợp điểm kết thúc tại lỗ chóp giải phẫu hay chóp răng trên X-quang: Hình ảnh trước điều trị (a); sau 6 tháng (b); sau 2 năm (c).

    Trong những trường hợp bệnh lý quanh chóp

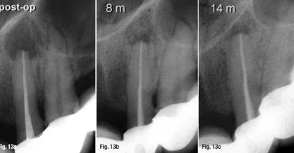
    Kết hợp với bệnh  lý viêm kèm tiêu chân, việc xác định vị trị và quyết định điểm chóp cuối cùng trong nội nha đặc biệt khó khăn. Những quan điểm đang còn bàn cãi trong y văn cho rằng nên chọn điểm cách chóp 0.5 mm hoặc quá chóp 1.0 mm. Vì không có kỹ thuật chính xác nào cho những trường hợp như trên, vấn đề trở nên càng bế tắc cho các nhà lâm sàng (Hình 13a–c).

    Bệnh lý kèm tiêu chân

    Hình 13 a–c: Bệnh lý viêm kèm tiêu chân: Hình ảnh trước điều trị (a); sau 8 tháng (b); sau 14 tháng (c).

    Tóm lại, ống tủy chân răng nên được sửa soạn và trám bít đến điểm gần nhất với lỗ chóp có thể được nhưng vẫn còn nằm trong cấu trúc mô răng lành mạnh. Mục tiêu của việc xác định chiều dài làm việc là để cho phép sửa soạn ống tủy gần điểm thắt chóp nhất có thể.

    Phương pháp quyết định chiều dài làm việc

    Các phương pháp sau đây có thể sử dụng để quyết định WL:

    1. Quyết định sơ bộ chiều dài răng “bình thường” (phương pháp này không được trình bày chi tiết ở đây do tính thiếu chính xác của nó);
    2. Phản ứng đau của bệnh nhân;
    3. Cảm xúc tay của người điều trị;
    4. Kỹ thuật côn giấy;
    5. Phương pháp dùng X-quang; và
    6. Máy định vị điện tử.

    Một đáp ứng của đau của bệnh nhân có thể là phương pháp cũ nhất được sử dụng. Tuy nhiên, nó có những yếu tố nhiễu và không đáng tin cậy. Đầu tiên, phần mô tủy còn sống còn lại trong vùng chóp có thể gây đau, dẫn đến WL ngắn hơn.

    Áp lực của đầu dụng cụ bị dẫn truyền qua các mảnh mô đến dây chằng nha chu cũng có thể gây đau và dẫn đến WL ngắn. Thêm nữa, mô quanh chóp bị phá hủy dẫn đến không còn cảm giác khi dụng cụ vượt quá lỗ chóp thậm chí đến vài milimet, dẫn đến WL dài quá. Kỹ thuật này cũng hoàn toàn chủ quan do tùy thuộc vào ngưỡng chịu đau khác nhau của mỗi bệnh nhân.

    Hơn thế nữa, không thể ứng dụng cách này khi có gây tê lúc điều trị. Trong y văn thiếu bằng chứng về việc liệu phương pháp này có còn được sử dụng; hay nó đã đi vào lịch sử của ngảnh nha rồi?

    Cảm giác tay cũng là một kỹ thuật rất mang tính chủ quan. Hạn chế của nó do những bất thường về hình thái, loại răng và tuổi bệnh nhân (thường dẫn đến giá trị chiều dài ngắn hơn), và sự tiêu vùng chóp bệnh lý hoặc lỗ chóp rộng ở răng chưa trưởng thành dẫn đến WL dài hơn. Tài liệu cung cấp rất ít thông tin về phương pháp này; tuy nhiên, kỹ thuật dùng cảm giác tay vẫn còn được sử dụng vì rất hữu ích trong việc quyết định vị trí điểm thắt chóp.

    Năm 1986, Tiến sĩ Mirjana Vujaskovi và cố vấn của mình, Giáo sư Miroslav Pajic, thực hiện nghiên cứu rộng rãi trên lâm sàng về mức độ chính xác của phương pháp dùng cảm giác tay với sự kiểm soát của X-quang trong mối liên hệ với hai điểm tham chiếu: cách chóp 0.5 mm trên X-quang ở bệnh nhân dưới 25 tuổi và 1.0 mm ở bệnh nhân trên 25 tuổi.

    Phương pháp này chỉ chính xác ở 19% trường hợp, nhưng độ chính xác tăng lên 42%  nếu sai số được tăng lên đến +/- 0.5 mm. Hơn thế nữa, các nhà nghiên cứu nhận thấy điều đáng chú ý rằng là trên và dưới giá trị ước tính lên đến 4.5 mm so với điểm tham chiếu. Y văn trình bày độ chính xác khác nhau từ 30% đến 40% và 30% đến 60%, với các giá trị đo phân bố rộng và ngẫu nhiên. Một phát hiện quan trọng đối với thực hành hàng ngày là việc làm loe trước giúp xác định điểm thắt chóp, tăng độ chính xác lên tới 32% đến 75%.

    Kỹ thuật côn giấy

    (PPT: Paper point technique) được coi là phương pháp xác định chính xác nhất WL đến điểm cuối cùng nhất của ống tủy và trong những trường hợp các lỗ chóp có đường kính nhỏ theo ba chiều không gian. Cho phép các nhà lâm sàng thấy bề mặt của lỗ chóp với độ chính xác đến ¼ mm. Theo logic mà nói, phương pháp này bắt buộc dùng cho kỹ thuật chóp mở. Ngoài ra, kỹ thuật này cho phép điều chỉnh côn chính gutta-percha theo ba chiều không gian dựa trên các thông tin thu được từ các điểm giấy (Hình 14).

    Mặc dù chúng ta cần một kỹ thuật chính xác nhất để quyết định WL, nhưng không một bằng chứng khoa học hay lâm sàng nào có giá trị trong y văn. Mặc dù được ủng hộ bởi nhiều chuyên gia nội nha, PPT vẫn thiếu khả năng xác định các chi tiết về hình thái và tình trạng bệnh lý trong ống tủy và mô quanh chóp. Tuy nhiên, nó là một phương pháp khá đơn giản và có thể hữu ích trong việc dự đoán và xác định WL do không làm tổn thương mô quanh chóp cũng như không ảnh hưởng tới sự lành thương vùng chóp.

    Phương pháp dùng X-quang (RM: radiographic method)

    Có lẽ vẫn còn sử dụng rất phổ biến để quyết định WL. Nó cho phép thấy nhiều chi tiết quan trọng và rất hữu ích trong mọi thủ thuật nội nha. Tuy nhiên, nó cũng có những hạn chế và đôi khi cho hình ảnh ảo. Có ba vấn đề cần lưu ý khi xác định WL bằng RM. Đầu tiên, bắt buộc phải có một phim trước điều trị, phim này giúp chẩn đoán chính xác. Thứ hai, chóp răng trên X-quang và chóp răng giải phẫu không phải lúc nào cũng trùng nhau, nhưng trong hầu hết các sách giáo khoa và bài báo hai thuật ngữ này được sử dụng thay thế cho nhau. Thứ ba, các lỗ chóp không phải lúc nào cũng thấy được trên X-quang, và đây là một điều khó chấp nhận được.

    tùy chỉnh congutta

    Hình 14a&b: Tùy chỉnh côn gutta-percha.

    Hình 15a & b: Phim X-quang cho thấy dụng cụ cách đỉnh chóp (a), nhưng trên thực tế đỉnh dụng cụ đã vượt quá lỗ chóp giải phẫu (b).

    Năm 1986, Tiến sĩ Vujaskovic, Giáo sư Pajic và tôi đã tiến hành một nghiên cứu lâm sàng dài hạn về tính chính xác của RM trong việc xác định WL. Phương pháp luận tương tự như đã mô tả ở phương pháp cảm giác tay. RM cho kết quả chính xác trong 51% các trường hợp, tôn trọng nghiêm ngặt các điểm tham chiếu trên X quang (cách chóp trên X-quang 0,5 mm ở bệnh nhân dưới 25 tuổi và 1,0 mm ở bệnh nhân
    lớn hơn 25 tuổi).

    Khi khoảng sai số được mở rộng đến một mức là trên lâm sàng chấp nhận được + / – 0,5 mm từ điểm tham chiếu, tỉ lệ chính xác của phương pháp tăng lên đến 68%. Nó tiếp tục tăng lên đến 88% khi khoản sai số mở rộng lên + / – 1,0 mm. Trên và dưới giá trị ước tính không quá 2 mm, thấp hơn so với 4,5 mm đối với  phương pháp cảm giác xúc giác. Trong các nghiên cứu khác cũng cho kết quả tương tự.

    Hình 15a và b cho thấy số đo file dài hơn so với hình ảnh của chúng trên X-quang. Khi trên X-quang dụng cụ còn cách chóp thì thực tế nó đã vượt quá lỗ chóp trong 43% trường hợp.

    Nếu điểm thắt chóp cách chóp răng 0.5 mm thì 66% là tất cả các dụng cụ đã đi quá nó. Khi file còn cách chóp trên X-quang thì sự thật là nó gần với lỗ chóp hơn so với hình ảnh xuất hiện trên X-quang. Chiều dài làm việc trên X-quang chấm dứt cách chóp trên X-quang từ 0 đến 2 mm nên dụng cụ dễ đi quá chóp mà chúng ta không hề biết, và điều này xảy ra thường xuyên hơn mong đợi. Hình ảnh từ 16a đến 17b là để minh họa những sai lầm trong việc quyết định WL, nó có thể được cải thiện để đạt được thành công cuối cùng.

    Quyết định chiều dài làm việc và cách xác định điểm chóp cuối cùng  3

    Hình 16a & b: Tình huống lâm sàng với dụng cụ quá chóp (a), sau đó được cải thiện lại bằng việc trám bít ống tủy cách chóp trên X-quang khoảng 0.8 mm.

    Quyết định chiều dài làm việc và cách xác định điểm chóp cuối cùng  6

    Hình 17a & b: Cải thiện lỗi sai khi quyết định WL (a) và kết quả cuối cùng ít nhiều thành công hơn (b).

    RM phụ thuộc vào một vài yếu tố khác nhau, cụ thể là cấu trúc xung quanh, góc  của ống chụp phim, khả năng hiển thị chiều dài của file (chịu ảnh hưởng bởi kích thước file), và tốc độ rửa phim và sang ảnh. Tóm lại, không thể thiếu X quang trong việc tính toán nhưng  không thể dùng X-quang để xác định WL và điểm chóp cuối cùng trong nội nha.

    Ưu điểm nổi bật nhất của phim X quang kỹ thuật số (DR)

    Khả năng định lượng khoảng cách với số đo chính xác. Nhờ các chương trình phần mềm, hình ảnh có thể thay đổi kích thước và độ tương phản. Nhưng có những hạn chế nếu dụng cụ nội nha có kích thước nhỏ với đỉnh dụng cụ mảnh, ví dụ khi dùng cây file số  # 8 hoặc 10. Chúng hiển thị độ tương phản thấp với cấu trúc xung quanh và ảnh hưởng đến hình ảnh và độ chính xác của việc đo chiều dài và cho kết quả. Do đó, khuyên dùng file số  # 15 và lớn hơn nữa.

    Mặc dù có rất nhiều ưu điểm và lợi ích khi sử dụng DR, nhưng nhiều báo cáo nhấn mạnh rằng chất lượng hình ảnh chung của X quang thông thường tốt hơn (Hình 18a & b). Khi dùng X quang thông thường và DR được để xác định WL, sau đó so sánh với dùng máy định vị điện tử, ta thấy rằng vị trí lỗ chóp khi xác định bằng máy định vị điện tử nằm cao hơn vì nhìn chung RM cho kết quả đo dài hơn thường có hiện tượng quá chóp.

    Hình ảnh RVG của răng cối lớn hàm dưới

    Hình 18a & b: Hình ảnh RVG của răng cối lớn hàm dưới (a) và X-quang thông thường (b).

    Thông tin về tác giả

    Giáo sư Vladimir Ivanovic tốt nghiệp ngành Nha khoa tại trường Đại học Belgrade vào năm 1976. Ông nhận được bằng thạc sĩ nha khoa và tiến sĩ với chuyên ngành Bệnh học răng miệng và Nội nha. Ông được phong giáo sư về Nha khoa phục hồi và Nội nha vào năm 1998 tại Khoa Nha và đóng vai trò như là một phó khoa cho các nghiên cứu đại học và sau đại học. Ông cũng là chủ tịch Ban Bệnh học răng miệng của trường.

    Giáo sư Ivanovic tiến hành nghiên cứu tại Đại học Belgrade và Viện Nha khoa Edinburgh. Quan tâm chính của ông là việc bảo tồn tủy sống, nhựa composites và các hệ thống dán, và nội nha. Ông đã tham gia nhiều buổi thảo luận và các khóa học về nội nha trên thế giới nhằm nâng cao kiến thức cũng như kỹ năng. Ông đã phát hành hơn 100 bài giảng cấp  gia và quốc tế, xuất bản hơn sáu mươi bài báo trên các tạp chí quốc gia và quốc tế, và nhiều chương trong bốn sách giáo khoa nha khoa.

    Ông là người sáng lập và chủ tịch của Hiệp hội nội nha Serbia và là một thành viên ESE kể từ năm 1989. Ông cũng là đại diện quốc gia tại Hội đồng ESE, thành viên của Hiệp hội nghiên cứu nha khoa quốc tế/ Bộ phận lục địa châu Âu và là đại diện trường tại Hiệp hội Giáo dục nha khoa châu Âu. Ông đã tổ chức hơn một chục cuộc họp nội nha tại Belgrade với sự chấp nhận của nhiều diễn giả quốc tế. Có thể liên lạc với Giáo sư Ivanovic tại vladaivanovic@hotmail. com.

    —–Trong bài dịch này có một số thuật ngữ:

    1, Xác định điểm chóp cuối cùng (apical terminus)

    2, Điểm thắt chóp (apical constriction)

    3, Lỗ chóp sinh lý (physiologycal foramen)

    4, Lỗ chóp giải phẫu (anatomical foramen)

    5, Lỗ chóp trên X-quang (radiological foramen)

    6, Chóp răng trên X-quang (radiological apex)

    7, Chóp răng giải phẫu (anatomical apex)

    Trong bài dịch này có một số thuật ngữ:

    (còn tiếp)

    —-

    Nguồn: Prof Vladimir Ivanovic & Dr Katarina Beljic-Ivanovic. “Determining working length, or how to locate the apical terminus (Part I)”

    Biên dịch: Lương Thị Quỳnh Tâm

    By Công ty Anh & Em.

    🩺
    Biên soạn bởi đội ngũ chuyên môn Đội ngũ Tư vấn ANH & EM Dental – Chuyên gia Thiết bị Nha khoa
    Tổng hợp từ tài liệu chuyên ngành và kinh nghiệm phân phối thiết bị nha khoa
    Bài viết này cung cấp thông tin kỹ thuật và tham khảo về thiết bị nha khoa. Không thay thế cho tư vấn y tế chuyên nghiệp. Hãy tham khảo bác sĩ trước khi đưa ra quyết định điều trị.
    Tác giả

    Việt Trần

    Chuyên gia tư vấn giải pháp nha khoa tại Công ty ANH & EM.