I.KHÁM TỔNG QUÁT

Bắt đầu khám tổng quát ngay lần hẹn đầu tiên bệnh nhân đến phòng mạch. Cần thực hiện một đánh giá sứa khoẻ chung trên bệnh nhân. Bác sĩ nên quan sát dáng đi, khuôn mặt, vóc dáng của bệnh nhân. Chiều cao và cân nặng được ghi lại để đánh giá thể chất và sự phát triển của bệnh nhân. Dáng đi bất thường có thể tiềm ẩn nguy cơ bệnh nhân mắc chứng rối loạn thần kinh cơ. Tư thế bất thường cũng có thể dẫn đến sai khớp cắn.
Gợi ý: TỰ HỌC CHỈNH NHA – BÀI 1 : KHÁM LÂM SÀNG
Hình dạng cơ thể có thể được Sheldon chia thành các loại sau:
a. Dáng cao gầy (Ectomorphic)
b. Dáng trung bình (Mesomorphic)
c. Dáng thấp béo (Endomorphic)
1.KHÁM ĐẦU – MẶT
Hình dáng đầu có thể được đánh giá dựa theo chỉ số đầu, chỉ số này được đề xuất bởi Martin và Saller (1957). Nó được xác định dựa trên chiều rộng tối đa và chiều dài tối đa của đầu.
I = CHIỀU RỘNG LỚN NHẤT CỦA ĐẦU/ CHIỀU DÀI LỚN NHẤT CỦA ĐẦU
Giá trị chỉ số:
- Dạng Meso (trung bình): 76.0-80.9
- Dạng Brachy (ngắn, sọ rộng): 81.0-85.4
- Dạng Dolico (dài, sọ hẹp): < 75.9
- Dạng Hyperbrachy: > 85.5
Hình dáng mặt được đánh giá theo chỉ số hình thái mặt, chỉ số này được đề xuất bởi Martin và Saller (1957):
I= CHIỀU CAO MẶT (Khoảng cách giữa Na và Gn) / CHIỀU RỘNG GÒ MÁ (Khoảng cách giữa hai xương gò má)
Giá trị chỉ số:
- Dạng Hypereury (mặt ngắn) < 78.9
- Dạng Eury: 79.0 -83.9
- Dạng Meso (mặt trung bình) 84.0 – 87.9
- Dạng Lepton (mặt cao) 88.0-92.9
- Dạng Hyperlepton: >93.0
Chỉ số hình thái mặt có mối liên hệ vơi shinfh dạng cung răng. Chẳng hạn như: mặt Eury có cung hàm rộng, vuông; nên sử dụng nong rộng để điều trị chen chúc trong trường hợp này. Mặt khác, mặt Lepto thường có cung hàm hẹp, vì vậy nhổ răng sẽ được ưu tiên hơn so với nong rộng.
2.ĐÁNH GIÁ SỰ ĐỐI XỨNG CỦA KHUÔN MẶT
Thường sẽ có một góc độ không đối xứng giữa bên phải và bên trái của mỗi người. Khuôn mặt cần được kiểm tra theo mặt phẳng dọc và ngang để xác định liệu có sự bất đối xứng nào nhiều hơn mức độ bình thường không. Những trường hợp bất đối xứng nhiều có thể gặp ở bệnh nhân:
a.Phì đại/teo nửa mặt
b.Dị tật bẩm sinh
c.Tăng sản lồi cầu một bên
d.Cứng khớp một bên
3.NÉT MẶT NHÌN NGHIÊNG
Nét mặt nhìn nghiêng được kiểm tra từ một bên bằng cách yêu cầu bệnh nhân nhìn một vật ở xa, sao cho mặt phằng FH song song với sàn nhà. Nét mặt nhìn nghiêng có thể quan sát trên lâm sàng hoặc phim ngoài mặt bằng cách nối hai đường thẳng tham chiếu sau:
a.Đường nối giữa trán và điểm A’
b.Đường nối điểm A’ và Pog’
Có 3 kiểu mặt nhìn nghiêng:
- Mặt thẳng: hai đường thẳng gần như trùng nhau
- Mặt lồi: hai đường thẳng tạo nên một góc nhọn với phần lõm đối diện với mặt. Loại này gặp ở bệnh nhân hạng II chi 1 do nhô hàm trên hoặc lùi hàm dưới.
- Mặt lõm: hai đường thẳng tạo nên một góc tù với phần lồi đối diện với mặt. Loại này gặp ở bệnh nhân hạng III do nhô hàm dưới hoặc lùi hàm trên.
4. TÍNH PHÂN KỲ CỦA KHUÔN MẶT
Tầng mặt dưới có thể thẳng, nghiêng trước hoặc nghiêng sau so với trán. Độ nghiêng này được gọi là tính phân kỳ của mặt, nó có thể bị ảnh hưởng bởi yếu tố chủng tộc.
Vẽ một đường thẳng từ trán đến cằm để xác định tính chất này:
a. Mặt phân kỳ phía trước: đường thẳng này nghiêng về phía trước
b. Mặt phân kỳ phía sau: đường thẳng này nghiêng về phía sau
c. Mặt thẳng: đường thẳng không nghiêng.
5. ĐÁNH GIÁ TƯƠNG QUAN TRƯỚC SAU GIỮA HAI HÀM
Chụp một bức ảnh về mối tương quan giữa hai hàm tại mặt phẳng dọc giữa khi đặt ngón tay trỏ và ngón giữa tại vị trí điểm A và B (ước lượng tương đối vị trí hai điểm này) sau khi banh môi má. Theo lý tưởng thì hàm trên nằm về phía trước hàm dưới từ 2 đến 3 mm khi các răng ở cắn khít trung tâm. Trong tường hợp hạng II xương, ngón trỏ nằm trước ngón giữa trong khi ở trường hợp hạng III thì ngón giữa nằm trước ngón trỏ.
6.ĐÁNH GIÁ TƯƠNG QUAN THEO CHIỀU DỌC
Tương quan theo chiều dọc bình thường khi khoảng cách giữa điểm Glabella và Subnasale bằng khoẳng cách từ Subnasale đến điểm dưới cằm. Giảm chiều cao tầng mặt dưới liên quan đến cắn sâu, trong khi tăng chiều cao tầng mặt dưới gặp trong cắn hở răng trước.
Khám mô mềm
- Khám ngoài mặt
- Trán: đánh giá thẩm mỹ của một trường hợp chỉnh nha dựa vào nét mặt nhìn nghiêng của nó, điều này chịu ảnh hưởng bởi hình dạng của trán và mũi. Để có một khuôn mặt hài hoà, chiều cao trán (khoảng cách từ chân tóc trán đến điểm Glabella) cần bằng với một phần ba giữa mặt (Glabella đến Subnasale) và một phần ba dưới mặt (Subnasale đến điểm Menton) và bằng với một phần ba chiều cao tổng thể của khuôn mặt. Dữ liệu nha khoa cho thấy những trường hợp nhô hàm thì có trán nhô nhiều hơn so với trán phẳng.
- Mũi: kích thước, hình dạng và vị trí của mũi quyết định tính thẩm mỹ của khuôn mặt và vì vậy rất quan trọng trong việc tiên lượng điều trị chỉnh nha.
- Môi: cần đánh giá chiều dài, chiều rộng và độ cong của môi. Ở một khuôn mặt hài hoà, môi trên chiếm 1/3, môi dưới và cằm chiếm 2/3 chiều cao tầng mặt dưới. Rìa cắn răng cửa lộ ra ngoài khoảng 2mm khi môi trên ở tư thế nghỉ. Môi có thể được phân thành những loại sau:
- Môi tiếp xúc nhẹ khi cơ thư giãn
- Giải phẫu môi ngắn, môi không chạm nhau khi cơ thư giãn. Môi khép kín chỉ khi co cơ vòng môi và cơ cằm.
- Môi không khép kín được do nhô răng cửa hàm trên mặc dù môi phát triền bình thường.
- Đôi môi phình to do thừa mô nhưng sức căng cơ yếu.
7. GÓC MŨI MÔI
Góc mũi môi được tạo thành bởi tiếp tuyến của bờ dưới mũi và đường thẳng nối giữa điểm Subnasale với đỉnh môi trên. Giá trị bình thường của góc này là 110 độ. Ở bệnh nhân bị nhô hàm trên và các răng trước hàm trên nghiêng trước thì góc này giảm, trong khi đó ở những bệnh nhân bị lùi hàm trên hoặc các răng trước hàm trên bị cụp thì góc này tù hơn.
a.Cằm
Hình dạng của cằm được xác định không chỉ bởi cấu trúc xương mà còn bởi độ dày và trương lực của cơ cằm.
- Hoạt động của cơ cằm: cường cơ cằm thường gặp ở bệnh nhân sai khớp cắn hạng II chi 1, lúc đó có thể thấy nếp gấp ở cằm.
- Rãnh cằm: là vùng lõm bên dưới môi dưới. Rãnh cằm sâu gặp trong trường hợp hạng II, rãnh cằm nông thấy trong trường hợp nhô hai hàm.
Cũng như độ rộng của cằm, sự phát triển chiều cao của cằm cũng quan trọng.
- Chiều cao cằm là khoảng cách giữa rãnh cằm đến điểm Menton. Chiều cao cằm phát triển quá mức sẽ làm thay đổi vị trí của môi dưới và làm cản trở việc khép môi.
- Vị trí cằm và độ nhô của cằm: cằm nhô thường gặp trong sai khớp cắn hạng III, trong khi cằm lùi gặp trong sai khớp cắn hạng.
b.Khám trong miệng
Lưỡi
Kiểm tra hình dạng, màu sắc và cấu hình của lưỡi. Lưỡi có thể nhỏ, dài. Có thể ước lượng kích thước lưỡi nhờ phim Cephalogram mặt bên. Lưỡi quá lớn (macroglossia) thường sẽ thấy những dấu vân trên bờ lưỡi, tạo nên hình dạng lưỡi giống vỏ vò. Tuy nhiên để chẩn đoán lưỡi lớn cần nhiều thông tin điều tra chi tiết hơn nữa, chẳng hạn chụp X quang ghi hình (cineradiography). Kiểm tra thắng lưỡi. Thắng lưỡi ngắn có thể làm hạn chế vận động của lưỡi. Những bất thường của lưỡi có thể làm mất đi sự hài hoà và thăng bằng về cơ dẫn đến sai khớp cắn.
Thắng môi và má
Trong các thắng môi má, thắng môi hàm trên thường gây ra tình trạng sai khớp cắn nhất. Một thắng môi dày, nhiều sợi, bám thấp sẽ ngăn không cho các răng cửa giữa hàm trên sát lại gần nhau dẫn đến hở đường giữa. Việc cắt thắng được chỉ định khi nó nằm sâu và các sợi mở rộng đến gai nướu giữa các răng. Chụp phim X quang vùng này có thể thấy rãnh xương giữa các chân răng cửa giữa hàm trên.
Có thể thực hiện thử nghiệm kéo môi trên lên trên và ra ngoài, nếu xuất hiện vùng trắng giữa gai nướu thì cho thấy thắng môi bám bất thường. Thắng môi hàm dưới thường ít khi gây hở đường giữa. Tuy nhiên, nó có thể tạo lực kéo mạnh lên nướu dính và nướu rời dẫn đến tụt nướu ở vùng răng cửa hàm dưới. Cần kiểm tra thắng má kỹ lưỡng ở những bệnh nhân thiếu niên hoặc người trưởng thành.
Nướu
Kiểm tra nướu xem nướu thuộc lại nào (nướu dày hay nướu mỏng), có viêm nướu hay tổn thương niêm mạc nướu hay không. Ở trẻ em, hầu hết bị viêm bờ viền nướu do tích tụ mảng bám, điều này có thể được giải quyết bằng cách vệ sinh răng miệng. Ở người lớn, cạo vôi răng bằng currett và đôi lúc cần phẫu thuật nướu. Tổn thương nướu khu trú có thể xảy ra do san chấn khớp cắn, lực chức năng bất thường hoặc sử dụng thuốc (như Dilantin). Ở bệnh nhân thở miệng, môi hở làm khô miệng dẫn đến viêm viền nướu các răng phía trước. Viêm nướu là chống chỉ định của điều trị chỉnh nha. Việc điều trị nên được bắt đầu sau khi tình trạng nướu được cải thiện.

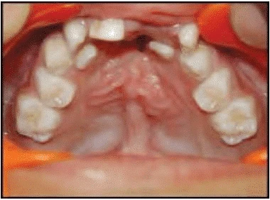
Khẩu cái
Kiểm tra niêm mạc khẩu cái nhằm:
a. Khẩu cái sưng bệnh lý: có thể là dấu hiệu của mầm răng ngầm, nang, v.v…
b. Cắn sâu có thể gây chấn thương đến vết lõm trên khẩu cái hoặc vết loét niêm mạc.
c. Khẩu cái sâu và có hình dạng khác nhau tương ứng với hình dạng khuôn mặt, chẳng hạn như bệnh nhân có khuôn mặt brachy thì khẩu cái thường rộng và nông hơn so với bệnh nhân có khuôn mặt dolico.
d. Sự hiện diện của khe hở vòm miệng với nhiều mức độ khác nhau. Sẹo do phẫu thuật khẩu cái có thể ảnh hưởng đến sự phát triển bình thường của xương hàm trên.

Amiđan và hạch hạnh nhân ở họng
Kiểm tra kích thước và quá trình viêm nếu thấy amiđan có dấu hiệu viêm. Việc viêm Amiđan kéo dài có thể làm ảnh hưởng đến lưỡi và tư thế của hàm, mất cân bằng khoang miệng – mặt, dẫn dến “khuôn mặt hạnh nhân” (Adenoid facies).
Khám răng
- Kiểm tra tình trạng răng như số răng hiện có, răng chưa mọc hoặc mất răng.
- Những bất thường về răng và khớp cắn cần được ghi lại một cách chi tiết. Điều trị răng sâu trước khi bắt đầu chỉnh nha. Kiểm tra bộ răng xem có bị dị tật gì khác không, thiểu sản, có mang phục hồi, mòn răng và đổi màu răng.
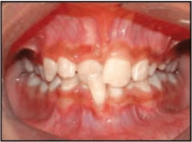
- Đánh giá khớp cắn:
- Tương quan răng cối lớn là hạng I, II hay III
- Độ cắn chìa và cắn phủ: cắn sâu hay cắn hở
- Có trượt chức năng hoặc cắn chéo
- Đường giữa mặt có trùng với đường giữa răng hay không.
- Vị trí các răng có gì bất thường như xoay răng, thay đổi vị trí hoặc nứt răng.
- Hình dạng và sự đối xứng của cung răng trên và cung răng dưới.
Nguồn : bác sĩ Lương Thị Quỳnh Tâm
#khámlâmsàng
Tổng hợp: Công ty Anh & Em.
