Chỉnh nha là một trong những hướng giúp bệnh nhân có được nụ cười hoàn hảo. Để các Bác sĩ có thêm các kiến thức về chỉnh nha Công ty Anh & Em xin gửi tới các Quý bác sĩ bộ tài liệu Tự học chỉnh nha mà chúng tôi đã tổng hợp được.
1. Chỉnh nha
Những điều bạn cần nói với bệnh nhân:
• Điều trị sẽ tốn bao nhiêu tiền?
• Bệnh nhân muốn điều trị trong thời gian bao lâu?
• Kết quả điều trị trông sẽ thế nào (xây dựng hình ảnh đó trong đầu bệnh nhân)
• Những điều cần làm khi điều trị: Nhổ răng? khí cụ ngoài mặt? gắn mắc cài toàn bộ hai hàm?
Những ấn tượng trên lâm sàng của bạn cũng sẽ được ghi lại để tham khảo về sau khi hoàn thiện “bệnh án” và khi bạn cần quyết định chẩn đoán. Phương pháp hiệu quả nhất để hoàn tất phần này là có trợ thủ hỏi bạn các câu hỏi trong mẫu bệnh án để bạn trả lời. Ví dụ: “Bệnh nhân có dạng hạng I phải không?” tương ứng bạn có thể trả lời: ” không, bên phải hạng II 4mm răng cối và răng nanh, bên trái hạng I răng cối và răng nanh”.
Khi sử dụng máy tính, mẫu bệnh án sẽ được điền trong lần khám đầu tiên tại phòng mạch. Tốt hơn hết là có trợ thủ hoàn thành các dữ liệu trên máy tính cho bạn. Sau đó bác sỹ kiểm tra lại phần điền của trợ thủ.
2. Giải thích
Một vài phần cần có giải thích và đôi khi ít gặp. Xin mời xem giải thích dưới đây:
2.1. Hạng I
Định nghĩa trong trường về “múi ngoài gần của răng 6 trên khớp vào rãnh phía ngoài gần của răng 6 dưới” không phải là mục tiêu điều trị lý tưởng của chỉnh răng. Mục tiêu điều trị thành công mà bạn “phải đạt được” là:
• Các răng phải thẳng hàng khi kết thúc điều trị.
• Không có khe hở ở các răng phía trước.
• Không còn cắn chìa quá mức (bệnh nhân sẽ biểu thị cắn chìa bằng cắn phủ)
• Các răng (thông thường) phải cắn khít khi kết thúc điều trị. Các răng cối nhỏ không cắn khớp cũng được, nhưng răng cối nhất định không được hở khớp.
“Hạng I” liên quan đến cắn chìa khi kết thúc. Để có cắn chìa đúng, thì răng nanh phải ở vị trí hạng I khi kết thúc điều trị. Răng cối có thể ở vị trí gần hạng III khi răng nanh ở hạng I.
Chúng tôi sẽ chẩn đoán TẤT CẢ các trường hợp dựa trên kết thúc của răng nanh, vì nhận thức của bệnh nhân về thành công sẽ ảnh hưởng đến danh tiếng của cá nhân chúng ta trong nghề. Nếu tất cả các bệnh nhân đều cảm thấy là chúng ta đã thành công, thì chúng ta có thể duy trì được niềm yêu thích của mình với chuyên môn. Tất nhiên, bác sỹ chúng ta thì khó thỏa mãn hơn, vì chúng ta nhìn thấy nhiều thiếu sót về khớp cắn mà bệnh nhân không nhìn thấy. Vì chúng ta còn phải làm chuyên môn cả đời, nên bản thân những đòi hỏi trong chỉnh nha của ta khó mà đáp ứng hơn, từ đó mà chúng ta ngày càng có kết quả tốt hơn. Bạn càng hiểu biết nhiều, bạn lại càng cần phải học nhiều.
Răng cối sẽ đặt ở vị trí “cắn khớp tốt nhất” khi răng nanh ở vị trí hạng I. Như vậy thì vị trí răng nanh hạng I trông như thế nào?
Phân loại răng nanh:
A. Răng nanh hạng I: răng nanh trên (mũi tên màu đen) nằm giữa răng 4 và răng nanh dưới (mũi tên màu đỏ).
B. Răng nanh hạng I với tư thế cắn hở.
C. Răng nanh hạng II
D. Răng nanh hạng III.
Đối với một số nha sĩ, việc nhả khớp răng nanh là mục tiêu quan trọng, và răng nanh hạng I của họ trông khác với những nha sĩ khác. Nói về nhả khớp răng nanh, nghĩa là răng nanh trên phải ra trước hơn so với răng nanh dưới để đạt được tiếp xúc chủ động. Tôi cảm thấy quan điểm về hạng I răng nanh có thể tùy từng người, với một số nha sĩ chọn hướng “nhìn” vào khớp cắn ở trạng thái tốt nhất, trong khi nha sĩ khác lại chọn tiêu chuẩn khác. Dù bạn chọn lựa tiêu chuẩn nào, thì khái niệm này sẽ xác định cách “kết thúc điều trị” của bạn, và do đó cần phải hiểu rất rõ khái niệm này.
Hạng I cũng được xác định bằng việc nhìn vào mặt trong các răng, tiếp cận thông qua mẫu hàm.
Hạng I chỉ là MỘT VỊ TRÍ. Vị trí này là khớp cắn mà bạn muốn kết thúc. Nếu răng nanh không ở vị trí đó một cách chính xác, thì nó có thể ở hạng II hoặc hạng III. Điều này cần phải xác định trong chẩn đoán để kết hợp khi lên kế hoạch về phương pháp điều trị trong từng ca lâm sàng.
Trên lâm sàng, chúng ta phải có một hệ thống tức thời để xác định độ hạng II hoặc III cho mỗi ca bệnh. Để làm được điều này, chúng ta tưởng tượng mỗi răng nanh và răng cối nhỏ có độ rộng gần xa là 8mm. Tiếp đó, khớp cắn “đối đỉnh” với đỉnh múi ăn khớp vào đỉnh múi kia sẽ là Hạng II hoặc hạng III 4mm. Một nửa khoảng cách giữa vị trí hạng I và đối đỉnh sẽ là Hạng II hoặc hạng III 2mm. Hãy phân loại hạng II và III theo từng 1 mm trong từng mẫu bệnh án.
2.2. Functional Shift – trượt chức năng/lệch chức năng.
Có hai vị trí trượt chức năng của hàm dưới thường gặp. Vị trí thứ nhất là trường hợp cắn chéo “đối đỉnh” răng cối, khi bệnh nhân trượt hàm dưới sang một bên để cắn khớp răng sau. Trên lâm sàng biểu hiện cắn chéo một bên kèm lệch đường giữa. Bạn cũng sẽ có thể thấy lệch mặt kèm theo trong trường hợp này.
Điều này sẽ được ghi lại trên ảnh chụp lần 1. Một dạng khác của trượt chức năng là cắn chéo vùng cửa (lệch lạc hạng III).
Bệnh nhân có thể cắn đối đỉnh răng cửa, nhưng vị trí này không thoải mái, do đó bệnh nhân sẽ trượt hàm dưới ra trước để cho phép răng sau cắn khít với nhau. Việc xác định tình trạng trượt chức năng vùng cửa ở hàm dưới là tiêu chuẩn của chẩn đoán hạng III. Một trường hợp cắn chéo trước lớn, nhưng không có trượt chức năng của hàm dưới sẽ khó điều trị hơn một trường hợp có trượt chức năng (hạng III xương thường tệ hơn trong các trường hợp không có trượt chức năng). Không thể xác định được trượt chức năng trên mẫu hàm hoặc ảnh chụp, nên phải xác định điều này trên lâm sàng.
2.3. Cắn phủ: Cắn hở, Cắn trung bình, cắn sâu
Hướng đứng “trung bình” được định nghĩa là răng cửa trên trùm 1/3 thân răng trên lâm sàng của răng cửa dưới, trên phần mềm máy tính mặc định là 2cm. Hoặc có thể nói cách khác, bạn có thể thấy 2/3 răng cửa dưới khi bệnh nhân cắn hai hàm vào nhau (ví dụ ở giữa ảnh trên).

Nếu cắn sâu, thì răng cửa trên có thể sẽ phủ toàn bộ răng cửa dưới. Rìa cắn răng cửa trên sẽ ở ngang mức bờ lợi. Cắn sâu 4mm sẽ là 1/3 răng cửa dưới lộ khi cắn khớp…

Cắn hở được định nghĩa là mọi điểm cắn của răng cửa dưới không chạm với răng cửa trên, như hình bên trái ở trên. Có những trường hợp cắn hở hoàn toàn khi răng cách xa nhau ở phía trước. Cũng có những trường hợp hạng II khi độ cắn phủ của răng cửa trên so với răng cửa dưới là bình thường (phủ 1/3), nhưng răng cửa dưới không tiếp xúc với răng trên hoặc với hàm ếch.
Nguyên tắc: Răng sẽ trồi lên cho đến khi nó bị cản bởi thứ khác. Điều này nghĩa là răng sẽ tiếp tục trồi trong giới hạn thăng bằng cơ của bệnh nhân cho đến khi có vật cản. Đó có thể là răng, lưỡi, ngón tay cái hoặc một rào cản sinh lý nào khác.
Ví dụ chẩn đoán: Hãy so sánh hai dạng điển hình của trường hợp hạng II. Ở một dạng, răng cửa dưới mọc chạm tới vòm miệng (cắn sâu) và ở dạng thứ hai, răng cửa dưới không cắn chạm vòm miệng, và không có tiếp xúc với bề mặt trong của răng cửa trên.
Trường hợp nào dễ điều trị nhất nếu mục tiêu là chỉnh hạng II bằng việc kéo lùi răng cửa trên. Câu trả lời rất rõ ràng khi bạn áp dụng nguyên tắc đã thảo luận ở trên. Có gì đó ngăn răng cửa dưới mọc chạm vòm miệng trong ví dụ này. Dường như là lưỡi, hay nói theo cách khác, là bệnh có có tật đẩy lưỡi phía trước. Rất nhiều người cho rằng trường hợp này dễ điều trị nhất vì họ không phải đổi mặt với tình trạng cắn sâu.
Nhưng khi kéo lùi răng cửa trên, thì lưỡi sẽ ngăn cản việc kéo lại. Bất cứ khi nào bạn nhìn thấy răng trên và dưới không chạm nhau, đó là cảnh báo rằng có vấn đề gì đó về chức năng cơ. Thành công của bạn đối với những trường hợp này phụ thuộc vào khả năng của bạn trong kiểm soát thói quen trên bệnh nhân. Chúng tôi xem đó là một “hạn chế của điều trị” trong các trường hợp như vậy.
2.4. Độ dày của mô nha chu vùng răng cửa dưới.
Cung răng dưới là cung răng quy định hình dạng cung hàm. Để làm thẳng các răng chen chúc, chắc chắn sẽ đưa răng ra trước. Nếu các răng cửa dưới bị đưa ra quá nhiều, thì sẽ gây ảnh hưởng mô nha chu (thường gặp trong trường hợp cắt kẽ ở mô nướu). Đưa răng cửa dưới ra trước “trong giới hạn mô mềm phía trước” ở mô nha chu mỏng sẽ có nhiều nguy cơ hơn so với mô nha chu dày. Khi răng bị đưa ra trước, thì phần nha chu sẽ bị mỏng đi.
Ở lần thăm khám đầu tiên này, chúng ta sẽ tư vấn cho bệnh nhân về những gì cần làm để chỉnh tình trạng lệch lạc răng. Họ sẽ đặc biệt quan tâm nếu có nhổ răng hay không và tự quyết định lấy khi nào bắt đầu điều trị. Nếu không có phim Ceph, thì một yếu tố cần xem xét khi xác định có nhổ răng hay không chính là độ dầy mô nha chu vùng răng cửa dưới.
Sau khi tính khoảng chen chúc bằng phương pháp đã nói ở trên, chúng ta hình dung cứ một 1mm răng cửa đưa ra trước cho mỗi 2mm chen chúc.
Ví dụ: chen chúc hàm dưới 6mm thì sẽ gây ra đưa răng cửa ra trước 3mm. Trong trường hợp có mô nha chu mỏng, chúng ta dường như sẽ khuyên bệnh nhân nên nhổ răng, nhưng ta phải tham khảo phim x quang và đo mẫu trước khi đi đến kết luận cuối cùng.
2.5. Mất răng.
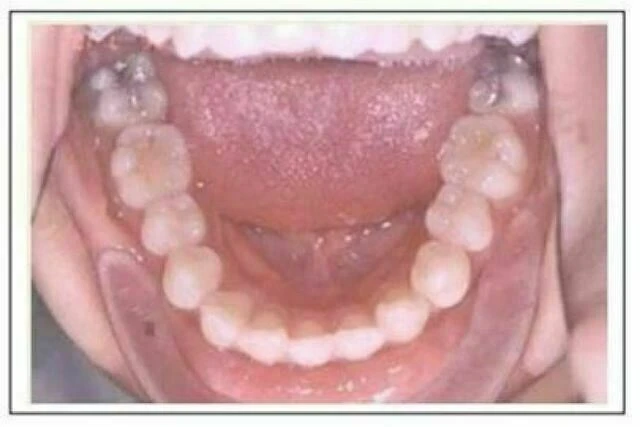
Điều này có vẻ rõ ràng, nhưng trong nhiều trường hợp mất răng có khoảng mất đã được đóng tự nhiên do di răng. Rất dễ không để ý thấy răng mất trong cung răng khi khám. Hãy chắc chắn răng bạn đếm đủ 4 răng cửa, 2 răng nanh, 4 răng cối nhỏ… trong mỗi cung hàm trước khi đánh dấu “không mất răng”.

2.6. Đường cong Spee
Đường cong Spee được xác định bằng cách nhìn cung răng dưới từ răng cối đến răng cửa. Đường cong Spee phẳng thường gặp nhất ở các ca hạng III và bộ răng hỗn hợp hoặc răng sữa. Đường cong Spee trong hình sẽ có một vài khoảng trống giữa rìa cắn và các răng cối nhỏ. Đường cong Spee sâu là chỉ thị của cơ nhai quá mạnh và thường rất khó điều trị. Cơ thường làm cho răng chậm di chuyển và dễ làm gẫy bể khí cụ.
Trong chỉnh nha, cần làm thẳng đường cong Spee trong mọi trường hợp. Bằng việc san phẳng đường cong Spee thì sẽ đạt được overbite và overjet đúng. Thật tiện lợi là với khí cụ dây thẳng, thì chiều cao khe mắc cài được đặt cố định từ răng trước ra sau, tạo ra đường cong spee phẳng khi đặt dây cung cứng cuối cùng.
Khi duy trì, đôi khi đường cong này lại tái phát. Một vài người tin răng đây là do chức năng của lồi cầu.
2.7. Hình thể cung răng:
Xác định hình dạng cung răng khi bệnh nhân đang ngồi trên ghế. Cung răng được định hình nhờ sự cân bằng giữa môi, má và lưỡi. Cung răng rộng, “vuông” có thể là do lưỡi to hoặc lưỡi “thực hiện chức năng” ở diện lớn hơn. Những bất hòa về kích thước cung răng giữa hàm trên và hàm dưới chỉ thị một phần chức năng cơ đặc biệt nào đó. Ví dụ, một trường hợp có cung răng dưới hình tam giác rất nhỏ và cung răng trên rộng, có thể là do vị trí lưỡi “cao” và lưỡi dường như nằm giữa răng trên và răng dưới tại tư thế nghỉ. Nếu lưỡi nằm thấp thì cung răng dưới sẽ rộng hơn.

Cung răng nguyên bản được xem là vị trí vững ổn nhất vì vị trí này ở trạng thái “thăng bằng” giữa răng và cơ xung quanh. Mọi sự thay đổi vị trí có thể dẫn đến sự bất ổn khi duy trì. Phương pháp nong hàm (làm cung răng rộng ra) được sử dụng để hạn chế đưa hàm dưới ra trước, do đó nhiều trường hợp điều trị không cần nhổ răng, nhưng cung răng có thể KHÔNG thể nong rộng ra ngay cả khi đặt lực sang hai bên qua dây cung hoặc khí cụ nong. Chỉ có 10% các trường hợp đáp ứng hoàn toàn với dây cung nong rộng. Trong thực hành bạn không nên dựa vào những gì “thỉnh thoảng” mới xảy ra, mà nên dựa vào những gì xảy ra ở “hầu hết” các trường hợp.
Trong hệ thống chấn đoán và điều trị, chúng ta sẽ tính toán lượng hàm dưới đưa ra trước dự kiến khi duy trì hình dạng cung răng ban đầu. Trong các trường hợp nằm ở ranh giới có hoặc không nhổ răng, chúng ta nên chọn loại cung nong gắn vào mắc cài (cộng thêm loại mắc cài có Labial Root Torque) để giảm lượng hàm dưới ra trước. Cung nong muốn trở lại hình thể ban đầu của nó (vốn to hơn cung răng) và điều này tạo lực làm tiêu và tái tạo xương, gây di chuyển răng. Bản xương ngoài sẽ ngăn việc di chuyển răng sang hai bên, đặc biệt đối với cung răng dưới.
2.8. Cắn chéo:

Cắn chéo sau được chia thành 3 loại. Loại thứ nhất là cắn chéo một bên, rất hiếm gặp. Loại thứ hai là cắn chéo sau hai bên, và loại thứ ba cắn chéo một bên có trượt chức năng của hàm dưới sang một bên (tạo ra cắn chéo một bên). Chìa khóa là nhìn vào đường giữa của hàm trên và hàm dưới. Trường hợp nào mà đường giữa hai hàm không trùng nhau, thì có thể không phải là do trượt chức năng của hàm dưới, như vậy có thể bạn đã phát hiện ra cắn chéo thực sự.
Tình trạng cắn chéo hai bên thực sự sẽ có đường giữa ở hàm trên và hàm dưới trùng nhau.
Nếu đường giữa không trùng nhau, thì bạn cần kiểm tra khả năng có trượt chức năng ở hàm dưới như trường hợp minh họa ở hình bên.
Nếu có cắn chéo hai bên với trượt chức năng hàm dưới sang một bên, nên phân loại trường hợp này là “cắn chéo hai bên có trượt chức năng hàm dưới sang trái hoặc phải”.
Cắn chéo trước được xem là kiểu cắn chéo có kèm trượt chức năng hàm dưới ra trước, hoặc kiểu cắn chéo không kèm trượt chức năng. Có vẻ như bạn khó có thể đưa hàm dưới ra sau đủ để tạo vị trí cắn chìa bình thường. Vị trí tốt nhất là vị trí đối đầu răng cửa kèm với cắn hở cắn phía sau. Bệnh nhân sau đó sẽ trượt hàm dưới ra trước vào tương quan lồng múi tối đa. Nếu bạn thấy bệnh nhân hạng III có kèm trượt chức năng hàm dưới, bạn nên chụp ảnh lưu lại vị trí lùi tối đa, như trong trường hợp ở trên, và chụp một phim Ceph thứ hai ở vị trí lùi nhất của hàm dưới.
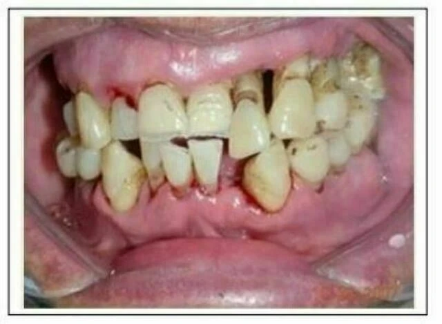
2.9. Tình trạng nha chu:
Chúng tôi có điều trị cho bệnh nhân có tình trạng mất xương do bệnh nha chu. Nếu được làm đúng cách thì chỉnh nha có thể cải thiện tình trạng nha chu cũng như tiên lượng tốt về bộ răng của bệnh nhân.
Trong ví dụ này, phải nói là bệnh nhân cần phải nhổ răng cửa hàm trên bên trái. Liệu có nha sĩ nào có thể dám làm cầu thẩm mỹ với khoảng mất răng không bình thường này không? Câu trả lời là không. Với nhu cầu can thiệp tối thiểu, bệnh nhân này cần chỉnh nha để định vị lại các trục và khoảng cách mất răng để có thể đạt được thẩm mỹ khi làm cầu. Cá nhân tôi từ chối chỉ điều trị phục hình cho ca này, và chỉ làm khi bệnh nhân đồng ý cho tôi điều trị ca đó với một kế hoạch toàn diện. Trong trường hợp này thì cần phối hợp chỉnh nha. Bệnh nhân không muốn như vậy, và tôi không đồng ý nhận bệnh nhân. Làm nghề Nha sĩ mà không tự cảm thấy hài lòng thì rốt cuộc sẽ làm cho bạn tự chán nghề.
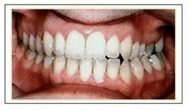
Tôi chỉ muốn bệnh nhân của tôi đủ tin tưởng để tôi có thể tạo ra kết quả mà mọi người (kể cả tôi) cảm thấy hài lòng. Tôi hi vọng bạn cũng xây dựng thái độ như vậy khi hành nghề. Bệnh án ban đầu của ca này cho thấy tiên lượng không thể cứu vãn của một số răng cửa trên. Ảnh chụp bên phải là hình ảnh cũng của trường hợp đó sau 15 năm. Một kế hoạch toàn diện đã được áp dụng, gồm có chỉnh vị trí của răng nhờ chỉnh nha, phẫu thuật nha chu, và phục hình răng từng đơn vị (không có nẹp). Răng của cô ấy giờ đây rất “giá trị”, điều đó góp phần vào việc xây dựng thói quen vệ sinh răng miệng tốt và tiên lượng không ngờ.
Thông thường, phẫu thuật nha chu là để điều trị sự thiếu hụt xương sau khi kết thúc chỉnh nha. Các vấn đề về nướu di động (thiếu nướu dính) sẽ được xử lý hết trước khi bắt đầu chỉnh nha, như hình ở trên.
Bệnh nhân càng có nhiều vấn đề về nha chu, thì họ càng cần chỉnh nha trong kế hoạch điều trị răng miệng toàn diện.
2.10. Khớp thái dương hàm:
Các trường hợp có loạn năng khớp thái dương hàm cũng được điều trị Trách nhiệm của bạn là ghi lại những tình trạng trước thời điểm khám vào mẫu bệnh án. Thông thường, chỉnh nha đúng cách sẽ cải thiện chức năng TMJ. Tuy nhiên, sau khi điều trị, vài bệnh nhân sẽ đổ lỗi cho bạn gây ra các vấn đề về khớp của họ. Tình trạng khớp trước điều trị có thể vì chỉnh nha mà trầm trọng hơn, bạn cần điều trị để khớp cắn dễ chấp nhận. Tuy nhiên, điều khác biệt giữa “bác sỹ đã gây ra bệnh cho tôi” là ở chỗ bạn không ghi các vấn đề trước khi chỉnh nha vào bệnh án. Điều trị một ca bệnh có các vấn đề về TMJ được xem là có thể. Cần phải chắc chắn rằng bệnh nhân không yêu cầu chỉnh nha để cải thiện hoặc điều trị được vấn đề khớp của họ. Những trường hợp này là “bệnh nhân có vấn đề về khớp thái dương hàm cần điều trị chỉnh nha”.
Nguồn: Tổng hợp Internet
Bài đăng lần đầu ngày: 16 Tháng 1, 2020 @ 5:08 chiều









1 bình luận về “Tự học chỉnh nha – Bài1 : Khám lâm sàng”
Bài hay.còn seri lần tư vấn đầu tiên chưa có hả?