Việc loại bỏ hoàn toàn tủy, mô hoại tử và vi sinh vật là rất quan trọng đối với sự thành công của nội nha. Xác định chính xác chiều dài làm việc là một phần thiết yếu của quá trình này.
Kết quả điều trị nội nha thấp hơn đáng kể nếu phần trám chân răng dài hoặc ngắn, hoặc nếu không thể đạt được sự thông suốt. Việc sử dụng dụng cụ quá mức cũng có thể dẫn đến biến chứng và đau sau phẫu thuật.
Tháng này tôi sẽ thảo luận về việc xác định chiều dài làm việc và lợi ích của việc sử dụng máy định vị chóp điện tử (EAL).
1. Giải phẫu ống tủy
Trong điều trị nội nha, phần hẹp nhất của ống tủy được gọi là chóp hẹp hoặc lỗ nhỏ, từ đó ống tủy dần mở rộng và kết thúc tại lỗ chóp hoặc lỗ lớn. Điểm nối xê-men-tô-ngà (Cemento-Dentinal Junction – CDJ) là điểm đánh dấu mô học nơi tủy kết thúc và dây chằng nha chu bắt đầu.

2. Chiều dài làm việc (WL)
Chiều dài làm việc là chiều dài từ một điểm tham chiếu ở phần thân răng đến giới hạn chóp của việc chuẩn bị. Điểm cuối tối ưu cho việc chuẩn bị và trám bít ống tủy là đến chóp hẹp, tạo ra vết thương nhỏ nhất có thể.
3. Phương pháp xác định WL
Chụp X-quang: Chóp hẹp được ước tính ngắn hơn từ 0.5 đến 1mm so với chóp x-quang. Tuy nhiên, vị trí và hình dạng của chóp hẹp có thể thay đổi, làm cho việc xác định chính xác bằng x-quang trở nên khó khăn.
Cảm giác xúc giác: Sử dụng dũa tay có thể giúp phát hiện chóp hẹp, nhưng phương pháp này có độ biến đổi lớn ngay cả với các bác sĩ có kinh nghiệm.
Kỹ thuật côn giấy: Máu hoặc dịch tiết trên đầu côn giấy có thể xác định chiều dài làm việc, nhưng phương pháp này thường không đáng tin cậy.
Máy định vị chóp điện tử (EAL): Đây là phương pháp hiện đại và chính xác hơn so với các phương pháp truyền thống.
4. Hạn chế của chụp X-quang xác định chiều dài làm việc
Vị trí lỗ chóp: Lỗ chóp không phải lúc nào cũng nằm ở điểm cuối của chân răng, có thể có sự biến đổi lên đến 3mm trong 50-98% chân răng.

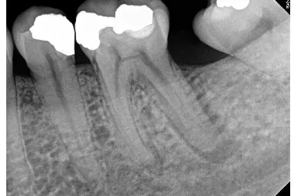
Khoảng cách giữa điểm thắt đỉnh và điểm tận cùng của chân răng tăng theo tuổi do sự lắng đọng xi măng thứ cấp ở đỉnh chân răng (Hình 1)
Dummer và cộng sự (1984) đã phân loại sự thắt chặt đỉnh thành bốn loại (Hình 3). Việc ước tính chiều dài làm việc bằng cách sử dụng chụp X-quang có thể dẫn đến việc chuẩn bị không đủ loại B và chuẩn bị quá mức loại D

Chụp X-quang có một số hạn chế có thể gây ra khó khăn và lỗi trong việc xác định WL
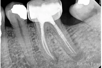
Hai chiều: chụp X-quang là hình ảnh hai chiều và cung cấp góc nhìn hạn chế, đặc biệt là ở mặt phẳng má-lưỡi (Hình 4)



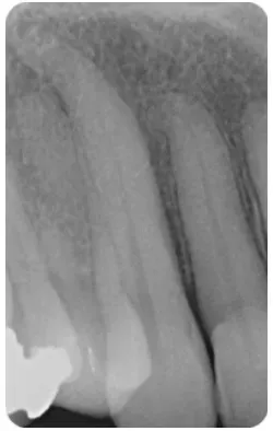
Nhiễu giải phẫu: giải phẫu chồng lên nhau có thể khiến việc hình dung khu vực quan tâm trở nên khó khăn (Hình 5)

Biến dạng hình học: sự kéo dài và co ngắn của gốc. Điều này giảm đáng kể khi sử dụng thiết bị ngắm chùm tia (Hình 6).

5. Máy định vị chóp điện tử (EAL)
Máy định vị chóp điện tử hoạt động bằng cách sử dụng cơ thể để hoàn thành một mạch điện. Một bên của máy được kết nối với niêm mạc miệng và bên kia với dũa. Mạch được hoàn thành khi dũa tiếp xúc với mô nha chu tại CDJ.
6. Lịch sử phát triển
Sunada (1962) phát hiện ra điện trở giữa niêm mạc và nha chu có giá trị không đổi (6,5kW).
Các máy định vị chóp thế hệ đầu tiên (dựa trên điện trở) sử dụng giá trị này để xác định vị trí thắt chóp. Thật không may, chúng không đáng tin cậy và sẽ bị đoản mạch khi giũa tiếp xúc với mô tủy, dịch tiết, dung dịch tưới rửa hoặc máu trong ống tủy. Chúng cũng sử dụng dòng điện một chiều và đôi khi bệnh nhân cảm thấy cảm giác bị điện giật nhẹ.
Các máy định vị chóp thế hệ thứ hai (dựa trên trở kháng) đo sự đối lập với dòng điện xoay chiều hoặc trở kháng. Thiết kế của chúng thay đổi đáng kể và nhiều máy cần được hiệu chuẩn riêng cho từng răng. Tuy nhiên, chúng vẫn được phát hiện có độ chính xác thay đổi, đặc biệt là trong các ống tủy ướt.
Để khắc phục những vấn đề này, máy định vị đỉnh thế hệ thứ ba sử dụng nhiều tần số. Chúng yêu cầu bộ vi xử lý tiên tiến hơn để tính toán các thuật toán toán học phức tạp.
Root ZX (J.Morita) là máy định vị đỉnh răng thế hệ thứ ba tự hiệu chuẩn đầu tiên. Nó đồng thời đo hai trở kháng ở hai tần số (8kHz và 0,4kHz). Sau đó, nó tính toán mức độ thắt đỉnh răng bằng ‘phương pháp tỷ lệ’. Root ZX đã được chứng minh qua nhiều nghiên cứu trong ống nghiệm và trong cơ thể sống là chính xác và đáng tin cậy, mặc dù có chất lỏng trong ống tủy.
Máy định vị đỉnh thế hệ thứ tư hoạt động theo cách tương tự nhưng đo từng tần số một. Sau đó, chúng sử dụng thuật toán toán học để đánh giá mối quan hệ giữa chúng. Các nhà sản xuất tuyên bố điều này cải thiện độ chính xác nhưng có bằng chứng trái chiều về điều này.

7. Ưu đểm của máy định vị chóp
Máy định vị đỉnh có một số ưu điểm so với các phương pháp khác; chúng dễ sử dụng, nhanh hơn và có thể sử dụng nhiều lần mà không cần tiếp xúc với bức xạ.
Tôi hiếm khi cần chụp X-quang WL và thường chuyển thẳng đến chụp X-quang nón chính. Việc xác minh chiều dài bằng ít nhất một phim chụp X-quang là điều cần thiết trước khi trám bít.
Khi vị trí thắt đỉnh được xác định bằng điện tử, chúng ta sẽ ít có khả năng làm hỏng nó do việc mở rộng quá mức.
Máy định vị chóp cũng khắc phục được các vấn đề với chụp X-quang đã thảo luận trước đó. Nhiều nghiên cứu đã chỉ ra rằng máy định vị chóp hiện đại chính xác hơn chụp X-quang. Tuy nhiên, điều này phụ thuộc vào chất lượng của máy định vị chóp được sử dụng.
Có rất nhiều thiết bị trên thị trường và điều quan trọng là phải chọn thiết bị đáng tin cậy và khiến bạn cảm thấy thoải mái khi sử dụng.
Máy định vị đỉnh cũng đặc biệt hữu ích để chẩn đoán thủng, gãy chân răng theo chiều ngang và tiêu xương. Máy định vị đỉnh sẽ đạt đến số đọc bằng không ngay khi giũa tiếp xúc với mô nha chu.
8. Quy trình sử dụng máy định vị chóp điện tử
Tôi giữ máy định vị chóp kết nối và sử dụng nó trong suốt quá trình làm sạch và tạo hình.

9. Mẹo và khắc phục sự cố khi sử dụng EAL
9.1. Mở rộng phần thân răng
Mở rộng phần ba thân răng trước khi cố gắng xác định chiều dài làm việc giúp khử trùng và giảm căng thẳng lên dũa.
9.2. Đọc số không
Đọc số không là phép đo chính xác duy nhất được tạo ra bởi máy định vị chóp. Kiểm tra xem đọc có ổn định và di chuyển cùng với các chuyển động của dũa hay không.
9.3. Phục hồi kim loại
Tránh tiếp xúc với phục hồi kim loại để không làm chập mạch máy. Loại bỏ tất cả các phục hồi trước khi thực hiện điều trị nội nha và đặt một phục hồi trước nội nha bằng GIC hoặc composite.
9.4. Làm khô ống tủy
Dịch trong ống tủy có thể gây nhiễu đọc. Làm khô ống tủy bằng một điểm giấy nếu không thể có được một đọc nhất quán.
9.5. Ống tủy rộng
Máy định vị chóp hoạt động tốt nhất khi dũa tiếp xúc với tất cả các thành ống tủy. Sử dụng dũa lớn hơn trong các ống tủy rộng có thể cung cấp đọc chính xác hơn.
9.6. Pin yếu
Điện áp thấp có thể làm máy dễ bị lỗi.
10. Thiết bị điện tử cấy ghép tim mạch
Thiết bị điện tử cấy ghép tim mạch (CIED) hoặc máy tạo nhịp tim là những thiết bị nhỏ chạy bằng pin lithium.
Chúng được cấy ghép bằng phẫu thuật dưới da, thường là gần xương đòn trái, và có các dây dẫn chạy qua tĩnh mạch đến tim. Chúng theo dõi nhịp tim liên tục để phát hiện loạn nhịp tim và chức năng tim kém. Có thể truyền xung để phục hồi chức năng tim bình thường khi cần thiết.
Người ta lo ngại về việc sử dụng máy định vị đỉnh ở những bệnh nhân có thiết bị này vì sóng điện từ phát ra có khả năng gây nhiễu và phá vỡ thiết bị.
Máy tạo nhịp tim hiện đại có vỏ bằng thép không gỉ hoặc titan, dây dẫn lưỡng cực và tụ điện. Chúng bảo vệ và lọc nhiễu điện từ.
Cơ thể bệnh nhân (da, cơ, mỡ, xương, răng) cũng chống lại sự dẫn truyền của dòng điện điện từ và cách ly máy tạo nhịp tim khỏi sự nhiễu loạn.
Một đánh giá có hệ thống gần đây, bao gồm các nghiên cứu in vivo, cho thấy máy định vị đỉnh tim có thể được sử dụng an toàn ở những bệnh nhân mắc CIED. Nên giữ EAL cách CIED và các đầu dò của nó ít nhất 10-20cm. Nên tham khảo ý kiến bác sĩ tim mạch của bệnh nhân.
11. Kết luận
Máy định vị chóp điện tử là công cụ quan trọng trong điều trị nội nha, giúp dễ dàng sử dụng, rút ngắn thời gian điều trị và không tiếp xúc với bức xạ. Chúng làm cho điều trị nội nha trở nên dễ dự đoán hơn và là một phần không thể thiếu của bộ công cụ nội nha hiện đại.
Nguồn bài viết: Biên dịch từ bài viết gốc trên https://dentistry.co.uk/2021/01/05/the-endo-expert-working-length-and-apex-locators/
