-
Sự tổn thương ở các răng cối hàm dưới

Alex Woodham thảo luận về cách cần một CBCT để kiểm tra bệnh lý liên quan đến chóp răng trước khi điều trị tủy răng.
Răng cối số 6 hàm dưới (LR6) có tiền sử đau khi cắn trong 02 năm. Bệnh nhân có các triệu chứng liên quan đến viêm tủy răng không hồi phục sau phục hình. Khi đó vấn đề của người bệnh được giải quyết bằng thuốc kháng sinh.
Về mặt lâm sàng, răng chịu được lực khi gõ. Không có đau ở rãnh lợi và độ sâu thăm dò trong giới hạn bình thường. Chụp CBCT là cần thiết để kiểm tra xem có bệnh lý liên quan đến chóp răng nào không trước khi bắt đầu điều trị tủy răng.
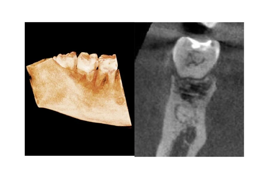
Răng LR6 này có ống tủy thông suốt, chiều rộng dây chằng nha chu bình thường và lớp màng cứng. Lời giải thích hợp lý nhất cho cơn đau là do tủy răng không còn sống hoặc gãy chân răng. Nhưng không thấy gãy chân răng.
Xem thêm: Vô trùng trong phẫu thuật răng miệng và nhổ răng
Ở mảng vỏ xương bên dưới răng cối số 7 hàm dưới là một lỗ được xác định rõ. Lỗ này rộng 4mm, mất mặt ngoài của mảng vỏ xương với khoảng tủy xương. Nó rất gần với ống thần kinh hàm dưới. Kèm theo là tình trạng viêm của nó có thể gây đau.
Răng cối số 8 hàm dưới bị va đập, các chóp không gần với ống tủy hàm dưới. Có một khoảng không mở rộng, không có hình dạng điển hình của một nang. Vấn đề này cũng có thể là do các đợt viêm nha chu trong quá khứ.
Vị trí từ Răng cối hàm dưới số 6 đến 8 (LR6-8) có dấu hiệu có sỏi tủy.

Xem thêm: Phương pháp tạo khoảng di xa răng cối lớn
Lát cắt toàn cảnh của Răng cối hàm dưới từ số 6-8 và mặt cắt ngang của vùng LR6 cho thấy ống tủy, chiều rộng dây chằng nha chu bình thường và lớp màng cứng. Cũng có thể thấy không gian nang mở rộng liên quan đến LR8.


Ảnh toàn cảnh được cắt của LR6-8 hiển thị các viên sỏi tủy trong LR6, LR7 và LR8.
Xem thêm: Chỉnh nha ( Phần 8): BỘ RĂNG CỐI VĨNH VIỄN
-
Kinh nghiệm từ những chiếc răng này
Từ những quan sát trên có thể nghi ngờ về hiện tượng gãy chân răng. Nhưng không phải lúc nào cũng quan sát được khi chụp CBCT nếu nó nhỏ hơn kích thước voxel nhỏ nhất có thể khi chụp.
Hiếm khi, một phát hiện như hình ảnh X-quang ở vùng răng cối số 7 hàm dưới có thể là một tổn thương nghiêm trọng như đa u tủy. Khi đó việc theo dõi thêm sẽ được khuyến nghị với bác sĩ phẫu thuật răng miệng.
Sỏi tủy là những ổ vôi hóa trong cùi răng của răng. Khi thực hiện điều trị tủy răng, sự hiện diện của chúng có thể gây khó khăn cho việc xác định vị trí của ống tủy.
Xem thêm: Textbook of Orthodontics
Nguồn: Tạp chí nha khoa Anh quốc (Dentistry)
Tổng hợp: Công ty ANH & EM
