Bạn đã có bệnh nhân của mình. Hãy lấy ý kiến của người hướng dẫn bạn, để có thể ngay lập tức bắt đầu 1 ca chỉnh nha. Đây là những kiến thức lâm sàng đầu tiên bạn phải biết để tiến hành trên bệnh nhân. Chúng tôi sẽ giới thiệu cho bạn những điều đầu tiên bạn cần phải biết để tự tin nhận điều trị một ca bệnh, giải thích cho bệnh nhân của bạn toàn bộ những điều sẽ xảy ra sau khi khí cụ được gắn trong miệng.
1. Tách khe:
Sau khi đã có chẩn đoán và bệnh án ở lần tư vấn thứ hai, đây là lúc đặt khí cụ gắn chặt. Trong hầu hết các ca, nên đặt khâu lên một số răng cối, đặc biệt là các răng sau nhất của cung hàm, sau đó gắn mắc cài từ 4-4 hoặc 5-5. Dán mắc cài thì không cần phải tách khe trước nhưng nếu đặt khâu vào răng thì cần phải tách khe.

Đừng đánh giá thấp tầm quan trọng của khí cụ tách khe. Đây là kinh nghiệm đầu tiên mà bệnh nhân phải trải qua khi chỉnh nha, và nếu đây là một kinh nghiệm đau đớn, thì một vài bệnh nhân có thể sẽ bỏ cuộc ngay khi chưa bắt đầu điều trị. Đây là một vài nhận xét về các phương pháp đặt khí cụ tách khe:
- Nếu bạn thử khâu mà không đủ khe, thì quá trình gắn khâu của bạn sẽ cực kì khổ sở và khó khăn. Kết quả dường như sẽ là thử cỡ khâu quá rộng để sau đó có thể lỏng ra và bám dính cao răng trong suốt quá trình điều trị. Thêm vào đó, việc gắn khâu không sát khít có thể gây ra “sai sót tại ống mắc dây” và gây ra những di chuyển răng không mong muốn.
- Khâu được sử dụng để giảm các vấn đề sút khâu/ống răng cối trong khi điều trị, thường xảy ra ở vùng răng sau tại điểm tận của dây cung, gây ra các lần hẹn có tính cấp cứu. Chúng ta luôn luôn phải dán mắc cài, nhưng việc rơi vỡ khí cụ khiến cho cả bạn và bệnh nhân phải đến phòng khám để sữa lỗi, khiến cho cảm giác chỉnh nha không đi đúng chiều hướng mong đợi. Bạn cần để ý rằng rất nhiều trường hợp lâm sàng có sử dụng khâu răng 5 dưới. Đúng ra là nên gắn mắc cài ở đây nhưng mắc cài rất hay bong, vì vậy để tránh gây áp lực thêm cho công việc vốn đã rất bận rộn ở phòng khám, bạn có thể sử dụng khâu. Đương nhiên việc gắn khâu không làm mất thời gian lắm nếu bạn huấn luyện trợ thủ thử khâu, nên công việc của bạn chỉ còn lại là gắn khâu mà thôi.
Các hình thức tách khe gồm:
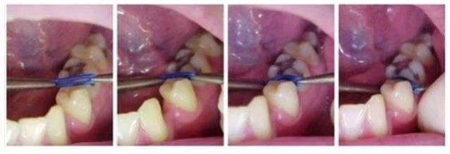
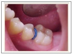
1.1. Chun tách khe:
Rẻ và rất dễ sử dụng ở trẻ em và thanh niên. Ở những điểm tiếp xúc chật, có chứa miếng trám bạc amalgam, thì chun tách khe dễ bị đứt lúc đưa quá điểm tiếp xúc. Có vẻ như chúng cản trở khớp cắn, không cho phép bệnh nhân cắn chặt hai hàm lại với nhau. Do cản trở khớp cắn như vậy cộng với lực mạnh từ vật liệu Polyurethane đặt vào răng gây ra những cảm nhận đầu tiên về lực, rất nhiều bệnh nhân sẽ than phiền vì đau. Vì lý do này chúng ta thường không sử dụng chun tách khe ở người lớn, những đối tượng nhậy cảm với đau cản trở khớp cắn hơn.
Chúng tôi khuyên bạn dùng là loại chun tách khe cản quang, có thể dùng được khi chụp phim x-quang.
Cách đặt chun tách khe:
a. Bằng kìm đặt chun: Nhẹ nhàng, nhanh, ít gây khó chịu cho bệnh nhân nhất.

b. Dùng chỉ tơ:

c. Dùng kẹp Mosquito

1.2. Lò xo Ni-ti
Lò xo Ni-ti dễ đặt vào mọi điểm tiếp xúc, giải phóng lực nhẹ, tự đứng tại chỗ và không cản trở khớp cắn, Lò xo đắt tiền hơn, tuy nhiên bạn có thể hấp và tái sử dụng, giảm chi phí xuống một nửa mỗi lần bạn đặt thêm.
Lò xo Ni-ti có thể mở đủ khoảng tiếp xúc để di chuyển sâu hơn về phía mô mềm. Phải chắc chắn luôn luôn đếm lò xo khi lấy bỏ nó. Bất cứ khi nào không thấy đủ thì phải tìm ở dưới mô lợi.

Chân đứng của lò xo có thể in dấu trên mô lợi trong trường hợp mô lợi này có thân răng lâm sàng ngắn. Có thể cắt ngắn chân lò xo Niti được bằng kìm cắt pin/ligature. Luôn kiểm tra để chắc chắn chân đứng của lò xo nằm ôm lấy cấu trúc răng và không kẹp vào mô lợi.
1.3. Hướng dẫn và thời gian đặt chun tách khe.
Mục đích của bản hướng dẫn cho bệnh nhân là để giảm những lần hẹn cấp cứu vì bệnh nhân không hiểu bạn đang làm gì, thêm vào đó nói cho họ biết để chuẩn bị tinh thần cho những gì sẽ diễn ra. Nếu bệnh nhân không hề biết là sẽ đau, và đau lại xuất hiện, có nghĩa là bạn đã làm sai ở đâu đó.
Bảng hướng dẫn thông thường nhất cho bệnh nhân (do nhân viên của bạn hướng dẫn) là:
- Không dùng chỉ tơ vào khe trong thời gian đặt chun tách khe tại đó.
- Có thể sẽ đau vì răng của bạn chưa quen với lực và bạn có thể không cắn chặt được hai hàm.
- Nếu bạn bị rơi chun tách khe trước lần hẹn đặt khâu 1 ngày thì không cần quay lại phòng khám để đặt lại. Nếu bạn mất trước đó nhiều hơn một ngày thì cần quay lại để đặt lại chun tách khe khác.
Thời gian đặt tách khe thông thường là 2-3 ngày đối với trẻ em và 1 tuần đối với người lớn. Chun tách khe có thể đặt tại chỗ vào thời gian hẹn thuận tiện trong khoảng 2 tuần trở lại. Nếu lâu hơn thì phải hẹn lại bệnh nhân để đặt lại tách khe.
2. Khâu (Band)
2.1. Giới thiệu:
Nha sĩ cần xác định kích thước khâu trực tiếp trên bệnh nhân, hoặc bạn hãy đo kích cỡ khâu trên mẫu hàm nghiên cứu. Khâu có thể là khâu trơn hoặc có hàn thêm vật gắn phụ mặt lưỡi hoặc má theo lựa chọn của nha sĩ. Có rất nhiều loại móc hàn khác nhau cả mặt trong và mặt ngoài để áp dụng trên từng bệnh nhân khi chỉ định khác nhau, loại bỏ hệ thống cồng kềnh các loại khâu hàn trước và dây cung thẳng kèm theo. Khâu hàn trước được sử dụng ở Mỹ từ năm 1962. Trước đó, nha sĩ hàn mỗi móc phụ vào khâu trong miệng bằng việc “bấm” khâu và hàn thêm vào. Quá trình này rất mất thời gian, nhưng cho phép nha sĩ chọn được khí cụ cá nhân hóa phù hợp cho mỗi bệnh nhân.

Khi xác định kích thước răng, không cần phải ấn khâu vào khít răng. Chỉ cần xác định khâu nào “hơi chật một chút” trên răng khi khâu thử ngang mức đường viền. Mối hàn ở mặt ngoài sẽ làm cho khâu có vẻ nhỏ đi, nên không nên chọn cỡ khâu chặt nhất khi thử khâu. Khi hàn vật dán mặt ngoài và mặt trong, thì khâu sẽ tăng thêm độ cứng do vật dán mặt ngoài và mặt trong.

2.2. Khâu răng cối nhỏ

Khâu răng cối nhỏ dùng cho răng 5 trên và dưới riêng biệt. Nếu bạn muốn gắn khâu R4 thì có thể sử dụng khâu răng 5 thay thế. Vẫn rất vừa! cleat mặt trong có thể được hàn vào khâu theo nhu cầu. Cleat này dùng để mắc chun chuỗi hoặc các loại chun khác để đặt lực lên bề mặt răng. Cleat thường được dùng để sửa răng cối nhỏ xoay nặng bằng việc đặt chun chuỗi vào cleat mặt trong. Chú ý: Nếu không dùng khâu, trong trường hợp cần cleat mặt trong, thì có thể gắn cleat (cleat hàn vào mặt đế dán) và dán vào mặt trong các răng để phục vụ mục đích này.
Toàn bộ khâu răng cối đều có ống mặt ngoài có thể mở nắp. Khe dây cung được phủ bằng một nắp dạng bản để tạo thành ống. Vì có ống răng cối ở răng cuối cùng nên bạn không cần phải buộc dây (bằng dây thép hoặc chun) vào răng này. Bản nắp này có thể lấy khỏi khâu bằng dụng cụ mở nắp khâu chuyên dụng để trở thành một mắc cài tiêu chuẩn có khe.
Động tác này thực hiện khi bạn muốn tạo điểm bẻ trên dây cung giữa răng 6 và răng 7. Ống mặt ngoài được hàn vào răng 7 không bật nắp được, chỉ là một ống đơn thuần, trừ phi có yêu cầu đặc biệt (sử dụng ống răng 6 trên răng 7 cũng được nếu khâu cả răng 8). Khâu cũng có móc ở mặt ngoài gần để móc chun, lò xo hoặc chun chuỗi.
Khi sử dụng khâu thay cho mắc cài.
Có thể khâu răng cối nhỏ khi thân răng lâm sàng ngắn (cơ khỏe), khi răng xoay rất nhiều (cho phép xếp lại vị trí dễ dàng và dùng cleat mặt trong để hỗ trợ xoay, và khi thân răng có men bị tổn thương.
Hầu hết các trường hợp đều gắn khâu răng 6. Lực cắn sẽ gây ra bong các mắc cài trên hầu hết bệnh nhân trừ những người cực kì cẩn thận. Nếu sử dụng headgear, TPA, LLA thì yêu cầu răng 6 đó phải được gắn khâu chứ không dán. Răng gắn khâu sẽ chịu được lực mạnh hơn từ khí cụ. Nếu mắc cài bị bong tại cuối dây cung, thì bệnh nhân lại cần một lần gặp khẩn cấp để sửa lại phần dây cung bị lộ ra. Gắn khâu bảo vệ sẽ giảm được các rắc rối này.
2.3. Răng 7 cần được gắn khâu trong các trường hợp sau:
- Bắt đầu điều trị.
- Các ca cắn hở
- Các ca cắn sâu cần san phẳng đường cong Spee.
- (Răng cối dưới) khi răng cối trên đã bị nhổ. Bảo vệ sự trồi quá mức răng 7 dưới.
- Cần thêm răng 7 vào neo chặn.
- Khi kết thúc: Trừ các trường hợp đã nêu trên, chỉ gắn khâu răng 7 tại thời điểm bắt đầu của giai đoạn cuối. Nếu có luật này, có lẽ có khoảng 40% răng 7 không bao giờ cần gắn khâu.
2.4. Hệ quả của đặt khâu và mắc cài răng cối không đúng:
Trong chỉnh nha bằng khí cụ gắn chặt, việc đặt mắc cài đúng là tiêu chuẩn để di chuyển răng thành công. Bất kỳ sai sót nào trong việc đặt mắc cài đều yêu cầu bẻ dây để bù trừ sai sót đó. Khí cụ dây thẳng không loại trừ hoàn toàn việc bẻ dây, nhưng hệ thống này làm giảm rõ rệt lượng bẻ dây nếu so sánh với hệ thống edgewise truyền thống.
Lỗi gắn khâu (hoặc mắc cài răng cối) sai chỗ phổ biến:
- Đặt mắc cài quá gần lợi (tương quan với các mắc cài khác trong cung). Điều này dẫn đến trồi răng đó so với các răng khác. Lỗi này có thể đặt răng vào vị trí “cắn cao” hoặc làm mở khớp cắn. Cũng như vậy, có thể thấy rằng khi đặt mắc cài ở vị trí quá gần lợi tại bề mặt răng có dạng cong, thì sẽ ảnh hưởng đến độ torque, hoặc góc chân răng vì khe chữ nhật sẽ thay đổi góc của nó khi thay đổi vị trí mắc cài lên hoặc xuống trên bề mặt cong.
- Đặt mắc cài quá gần rìa cắn so với các răng khác trong cung. Sai sót này sẽ dẫn đến việc răng bị lún so với các răng khác.
- Đặt mắc cài lệch gần-xa: gây ra xoay răng, có thể là khi răng ban đầu không xoay. Chú ý những mắc cài đặt lệch này đôi khi là cố ý khi dùng mắc cài của khí cụ dây thẳng để sửa xoay quá mức tại thời điểm đầu của điều trị. Trong hệ thống IP, những mắc cài xoay đặc biệt được áp dụng cho những răng có chẩn đoán là xoay gần (bề mặt răng xoay so với đường giữa) hoặc xoay xa. Bằng cách dùng mắc cài xoay được thiết kế đặc biệt như vậy, mọi mắc cài đều được đặt ở trung tâm của răng, tại độ cao đã được chỉ định theo công thức. Việc sửa độ xoay chưa đủ là lỗi rất phổ biến trong chỉnh nha, hậu quả cuối cùng là ảnh hưởng đến độ vững ổn của kết quả. Khi chẩn đoán chính xác độ xoay, sau đó áp dụng mắc cài xoay, thì sẽ điều trị hoàn toàn sự xoay ngay từ giai đoạn đầu của điều trị, cải thiện kết quả duy trì.
- Gắn mắc cài hoặc khâu không đúng trong tương quan ngoài-trong. Đây là điều phổ biến khi gắn khâu lên răng cối nhỏ và răng cối. Nếu gắn khâu mà mặt trong gần phía lợi quá so với mặt ngoài, thì độ torque chân răng ở các răng này sẽ nghiêng trong quá mức khi đặt dây cung chữ nhật. Ngược lại, nếu mặt ngoài của khâu bị gần lợi quá (so với mặt trong), thì thân răng sẽ bị nghiêng trong và/ hoặc chân răng sẽ nghiêng ngoài khi đặt dây cung chữ nhật. Đây là sai lệch về torque.
- Gắn mắc cài bị sai góc so với trục răng. Mắc cài được thiết kế để đặt theo trục dài của thân răng lâm sàng. Lỗi theo mặt phẳng này sẽ gây ra các vấn đề về góc của chân răng. Chân răng của các răng kế cận có thể chạm vào chân răng bên cạnh và/hoặc thẩm mỹ của thân răng lâm sàng bị ảnh hưởng do góc không tốt. Cũng như vậy, góc chân răng cũng gây tạo khe ở một số răng.
2.5. Sử dụng cleat ở mặt trong của răng:
Gắn chun chuỗi vào cleat mặt trong để hỗ trợ xoay răng cối nhỏ.
Cleat dùng để đặt module lực vào bề mặt trong của răng. Vì lực áp dụng vào mặt ngoài hoặc mặt trong sẽ hoạt động xa tâm xoay của răng đó, nên răng sẽ có xu hướng xoay để đáp ứng với các lực này. Chúng ta không thể đặt lực trùng tâm xoay vì lực sẽ đi vào buồng tủy của răng. Do đó, nếu đã đặt lực vào mặt ngoài thì sẽ thuận lợi hơn nếu áp dụng lực vào mặt trong của răng (thay vì mặt ngoài) để tạo moment xoay chủ định lên phía đối diện.

Cũng có thể dùng cleat như một điểm để đặt lực khi đặt khâu. Cleat có xu hướng biến dạng khi có lực đặt lên nó, nên nó không phải là lựa chọn tốt nhất cho mục đích này.
Tháo bỏ cleat:
Tháo cleat khỏi khâu ở bệnh nhân người lớn để giảm sang chấn mô mềm. Một vài bệnh nhân có thể than phiền về việc rách mô mềm do cleat và yêu cầu phải tháo bỏ ngay. Trước khi tháo bất cứ cleat nào từ mặt trong của khâu, phải chắc chắn không còn dùng cleat cho mục đích nào dưới đây nữa:
- Sửa xoay răng cối nhỏ hoặc răng cối lớn.
- Duy trì độ xoay của răng cối trong suốt quá trình đóng khoảng nhổ răng. Điều này luôn gặp ở các ca nhổ răng 6 và răng 5.
- Điều trị thói quen chức năng cơ (thè lưỡi sang một bên).
Nếu bệnh nhân đòi tháo cleat đang cần để sử dụng vào mục đích nào đó, thì hãy đặt chun tại chỗ vào cleat để giảm xước niêm mạc. Chú ý răng sáp không hiệu quả khi tránh cho cleat mặt trong hay đầu tận dây cung gây xước niêm mạc.
2.6. Chuyển dạng khâu thành mắc cài
Chuyển ống răng 6 thành mắc cài khi gắn khâu ở cả răng 6 và răng 7. Khi biến ống thành mắc cài trên khâu răng 6, rất dễ gắn dây cung cứng, dễ bẻ dây giữa các răng 6-7, và đặt lò xo mở để di xa răng cối.
Ống răng 6 có thể chuyển dạng thành mắc cài bằng dụng cụ chuyển dạng. Lấy bỏ bản ngoài của ống bằng động tác “mở hộp” trên dụng cụ. Mắc cài sẽ cần được buộc như đối với mắc cài thông thường.
Dụng cụ chuyển dạng mắc cài được dùng để lấy bỏ bản ngoài, chuyển “ống” thành “mắc cài”, sau đó cần phải buộc như mắc cài.
2.7. Nhược điểm của khâu
Gắn khâu trên răng có một số nhược điểm sau:
- Mất canxi dưới khâu. Thường bị mất canxi tiến triển ở dưới khâu. Vấn đề này đặc biệt quan trọng khi khâu răng phía trước, vì ảnh hưởng thẩm mỹ ở các vùng chấm trắng do mất canxi. Gẫy vỡ dưới khâu cũng có thể xảy ra mà khâu không bị lỏng, do đó nha sĩ sẽ khó lòng phát hiện cho đến khi tháo khâu. Các vấn đề mất canxi hầu như có thể loại bỏ được khi dùng cement gắn, thay thế bằng cement kẽm oxyphosphate.
- Kích thích mô lợi và tích tụ mảng bám. Đặc biệt cần chú ý ở những trường hợp có mất xương do bệnh nha chu nơi phần nhô ra ở quanh răng bị phá hủy nghiêm trọng. Tụt lợi rất hay xảy ra trong quá trình điều trị tại các răng có gắn khâu do vệ sinh không tốt.
- Mất nhiều thời gian hơn để thử và gắn khâu. Thử khâu trên răng mất khá nhiều thời gian, và gây đau cho bệnh nhân. Trợ thủ cần phải được huấn luyện để thử khâu, nhưng bác sỹ phải là người quyết định sử dụng cỡ khâu đó và gắn khâu cuối cùng.
- Cần tách khe răng trước khi gắn khâu. Có thể bỏ bước phụ trợ này nếu dùng mắc cài gắn thay cho khâu.
2.8. Mắc cài răng cối.
Mắc cài được dán lên răng nếu hàn bản đế dán vào mắc cài thay vì hàn khâu. Phần mắc cài là giống nhau, nhưng phương pháp gắn lên răng có khác nhau. Mắc cài dán được dùng mà không cần đặt tách khe, và ít bị mất canxi như khi gắn khâu. Ít bị kích thích mô lợi hơn, có thể là do chất gắn không bị đẩy vào vùng mô lợi. Khí cụ gắn tốn ít thời gian đặt hơn, và khi tháo thì không để lại khe giữa các răng (điểm tiếp xúc mở). Mắc cài dán sẽ thẩm mỹ hơn khâu vì ít lộ kim loại, không kể đến khả năng dùng mắc cài nhựa hoặc sứ để có thẩm mỹ tối đa. Cần chụp x-quang tại bề mặt tiếp xúc trong quá trình điều trị có sử dụng mắc cài dán.

Dù cho mắc cài dán có tất cả những ưu điểm như vậy, khâu vẫn duy trì được tiêu chuẩn trên các răng 6,7 và một số răng 5.
3. Gắn mắc cài, buộc chun, buộc ligature (chỉ thép)

Nguồn: Tổng hợp Internet
Người Share tài liệu: Nha Tài
