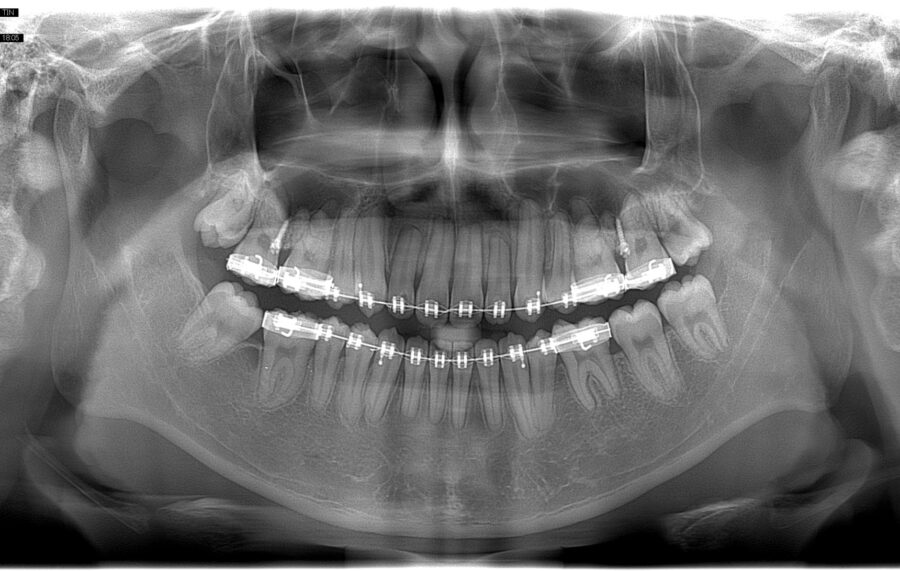
Phát hiện tổn thương nghiêm trọng tiềm ẩn ở răng cối hàm dưới
Sự tổn thương ở các răng cối hàm dưới
Đọc tiếpSự tổn thương ở các răng cối hàm dưới
Đọc tiếpĐầu tư máy X-quang toàn hàm - nên hay không?! Những tiêu chí sau sẽ giúp bạn có quyết định…
Đọc tiếpCác định nghĩa chính xác về điểm và các số đo được sử dụng trong phim Xquang nha khoa cephalometric…
Đọc tiếpEtiam porta sem malesuada magna mollis euismod. Vivamus sagittis lacus vel augue.
Đọc tiếpX-quang kỹ thuật số đang ngày càng trở nên phổ biến và được ưa dùng tại các phòng khám nha…
Đọc tiếp